
Merck Anti-MDH1B antibody produced in rabbit
상품 한눈에 보기
토끼에서 생산된 Anti-MDH1B 항체로, Atlas Antibodies의 Prestige Antibodies® 시리즈 제품입니다. 말산 탈수소효소 1B 단백질에 특이적으로 결합하며, 재조합 단백질 기반으로 높은 친화성과 재현성을 제공합니다.
브랜드: Merck Sigma
✨AI 추천 연관 상품
AI가 분석한 이 상품과 연관된 추천 상품들을 확인해보세요
연관 상품을 찾고 있습니다...
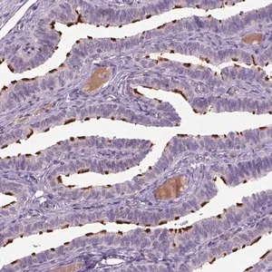
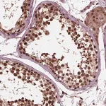
Anti-MDH1B antibody produced in rabbit
Prestige Antibodies® Powered by Atlas Antibodies
Affinity isolated antibody designed for high specificity and reproducibility.
제품 정보
- 공급업체: Merck Sigma
- 항체 종류: Rabbit polyclonal antibody
- 제품 시리즈: Prestige Antibodies®
- 항원: Recombinant protein corresponding to malate dehydrogenase 1B
관련 식별 정보
- FLJ25341
- RP11-95H11
단백질 서열 (Sequence)
MAKFVIAGRADCPYYAKTELVADYLQKNLPDFRIHKITQRPEVWEDWLKDVCEKNKWSHKNSPIIWRELLDR스펙 요약
| 항목 | 내용 |
|---|---|
| 제품명 | Anti-MDH1B antibody produced in rabbit |
| 공급업체 | Merck Sigma |
| 항체 종류 | Rabbit polyclonal |
| 항원 | Recombinant MDH1B protein |
| 시리즈 | Prestige Antibodies® Powered by Atlas Antibodies |
| 적용 분야 | 단백질 발현 분석, Western blot, Immunohistochemistry 등 |
🏷️Merck Sigma 상품 둘러보기
동일 브랜드의 다른 상품들을 확인해보세요

Merck Sigma
Merck Anti-PTX4 antibody produced in rabbit
370,530원

Merck Sigma
Merck Anti-SPANXD antibody produced in rabbit
370,530원

Merck Sigma
Merck Anti-MDH1B antibody produced in rabbit
370,530원

Merck Sigma
Merck Anti-PAIP1 antibody produced in rabbit
370,530원

Merck Sigma
Merck Anti-NSD1 antibody produced in rabbit
370,530원
배송/결제/교환/반품 안내
배송 정보
| 기본 배송비 |
| 교환/반품 배송비 |
|
|---|---|---|---|
| 착불 배송비 |
| ||
| 교환/반품 배송비 |
| ||
결제 및 환불 안내
| 결제수단 |
|
|---|---|
| 취소 |
|
| 반품 |
|
| 환급 |
|
교환 및 반품 접수
| 교환 및 반품 접수 기한 |
|
|---|---|
| 교환 및 반품 접수가 가능한 경우 |
|
| 교환 및 반품 접수가 불가능한 경우 |
|
교환 및 반품 신청
| 교환 절차 |
|
|---|---|
| 반품 절차 |
|
문의 0
로그인 후 문의를 할 수 있습니다.