
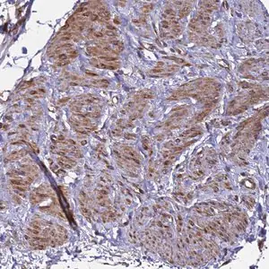
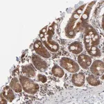
Merck Anti-MOCS1 antibody produced in rabbit
토끼에서 생산된 Anti-MOCS1 폴리클로날 항체로 인간 MOCS1 단백질을 인식합니다. Prestige Antibodies® 라인 제품이며, 면역블롯, 면역형광, 면역조직화학에 적합합니다. −20°C 보관, glycerol buffer 용액 형태로 제공됩니다.
✨AI 추천 연관 상품
AI가 분석한 이 상품과 연관된 추천 상품들을 확인해보세요
연관 상품을 찾고 있습니다...
Anti-MOCS1 antibody produced in rabbit
제품 개요
Prestige Antibodies® Powered by Atlas Antibodies
Affinity isolated antibody, buffered aqueous glycerol solution
Anti-MOCOD / Anti-Molybdenum Cofactor Synthesis 1
생물학적 소스
rabbit
품질 등급
100
결합 형태
unconjugated
항체 형태
affinity isolated antibody
항체 종류
primary antibodies
클론
polyclonal
제품 라인
Prestige Antibodies® Powered by Atlas Antibodies
형태
buffered aqueous glycerol solution
반응 종
human
포장
antibody small pack of 25 μL
적용 기술
| Technique | Recommended Concentration |
|---|---|
| Immunoblotting | 0.04–0.4 μg/mL |
| Immunofluorescence | 0.25–2 μg/mL |
| Immunohistochemistry | 1:50–1:200 |
면역원 서열
LVPAKFEFIVRRKGFHKVMEGIHKAIELGYNPVKVNCVVMRGLNEDELLDFAALTEGLPLDVRFIEYMPFDGNKWNFKKMVSYK
UniProt 수납 번호
배송 상태
wet ice
저장 온도
−20°C
유전자 정보
human ... MOCS1(4337)
Molybdenum cofactor synthesis 1 recombinant protein epitope signature tag (PrEST)
🏷️Merck Sigma 상품 둘러보기
동일 브랜드의 다른 상품들을 확인해보세요

Merck Sigma
Merck Anti-ARIH1 antibody produced in rabbit
895,700원

Merck Sigma
Merck Anti-GAK antibody produced in rabbit
895,700원

Merck Sigma
Merck Anti-MOCS1 antibody produced in rabbit
370,530원

Merck Sigma
Merck Anti-DNAJC5 antibody produced in rabbit
895,700원

Merck Sigma
Merck Anti-UBIAD1 antibody produced in rabbit
370,530원
배송/결제/교환/반품 안내
배송 정보
| 기본 배송비 |
| 교환/반품 배송비 |
|
|---|---|---|---|
| 착불 배송비 |
| ||
| 교환/반품 배송비 |
| ||
결제 및 환불 안내
| 결제수단 |
|
|---|---|
| 취소 |
|
| 반품 |
|
| 환급 |
|
교환 및 반품 접수
| 교환 및 반품 접수 기한 |
|
|---|---|
| 교환 및 반품 접수가 가능한 경우 |
|
| 교환 및 반품 접수가 불가능한 경우 |
|
교환 및 반품 신청
| 교환 절차 |
|
|---|---|
| 반품 절차 |
|