
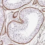
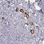
Merck Anti-CRIP2 antibody produced in rabbit
상품 한눈에 보기
토끼에서 생산된 Anti-CRIP2 항체로, Cysteine-rich protein 2를 특이적으로 인식합니다. Prestige Antibodies® 시리즈로 높은 특이성과 재현성을 제공합니다. Affinity isolation 방식으로 정제되었으며, glycerol 완충 수용액 형태로 제공됩니다.
브랜드: Merck Sigma
✨AI 추천 연관 상품
AI가 분석한 이 상품과 연관된 추천 상품들을 확인해보세요
연관 상품을 찾고 있습니다...
Anti-CRIP2 antibody produced in rabbit
제품 개요
Prestige Antibodies® Powered by Atlas Antibodies 시리즈로, 토끼에서 생산된 affinity isolated 항체입니다. Buffered aqueous glycerol solution 형태로 제공되며, Cysteine-rich protein 2 (CRIP2)를 특이적으로 인식합니다.
항원 정보
- 항원명: Cysteine-rich protein 2 (CRIP2)
- 기타 명칭: Anti-Crp2, Anti-Esp1
- 항원 특성: Recombinant protein epitope signature tag (PrEST)
제품 사양
| 항목 | 내용 |
|---|---|
| 제품명 | Anti-CRIP2 antibody produced in rabbit |
| 브랜드 | Prestige Antibodies® Powered by Atlas Antibodies |
| 항체 유형 | Affinity isolated antibody |
| 숙주 | Rabbit |
| 포맷 | Buffered aqueous glycerol solution |
| 표적 단백질 | Cysteine-rich protein 2 (CRIP2) |
| Synonyms | Anti-Crp2, Anti-Esp1 |
| 항원 정보 | Recombinant protein epitope signature tag (PrEST) |
🏷️Merck Sigma 상품 둘러보기
동일 브랜드의 다른 상품들을 확인해보세요

Merck Sigma
Merck Anti-LOXL4 antibody produced in rabbit
895,700원

Merck Sigma
Merck Anti-ZP3 antibody produced in rabbit
370,530원

Merck Sigma
Merck Anti-CRIP2 antibody produced in rabbit
370,530원

Merck Sigma
Merck Anti-COL5A3 antibody produced in rabbit
370,530원

Merck Sigma
Merck Anti-METTL8 antibody produced in rabbit
370,530원
배송/결제/교환/반품 안내
배송 정보
| 기본 배송비 |
| 교환/반품 배송비 |
|
|---|---|---|---|
| 착불 배송비 |
| ||
| 교환/반품 배송비 |
| ||
결제 및 환불 안내
| 결제수단 |
|
|---|---|
| 취소 |
|
| 반품 |
|
| 환급 |
|
교환 및 반품 접수
| 교환 및 반품 접수 기한 |
|
|---|---|
| 교환 및 반품 접수가 가능한 경우 |
|
| 교환 및 반품 접수가 불가능한 경우 |
|
교환 및 반품 신청
| 교환 절차 |
|
|---|---|
| 반품 절차 |
|
문의 0
로그인 후 문의를 할 수 있습니다.