
Merck Anti-Myosin Va (LE-16) antibody produced in rabbit
상품 한눈에 보기
Rabbit에서 생산된 Anti-Myosin Va (LE-16) 항체로, rat과 chicken 시료에 반응합니다. Western blot, IHC, microarray에 적합하며, 비결합 1차 항체입니다. 약 0.5 mg/mL 농도의 친화 분리 항체로 −20°C에서 보관합니다.
브랜드: Merck Sigma
✨AI 추천 연관 상품
AI가 분석한 이 상품과 연관된 추천 상품들을 확인해보세요
연관 상품을 찾고 있습니다...
Anti-Myosin Va (LE-16) antibody produced in rabbit
제품 개요
- 약 0.5 mg/mL 농도의 친화 분리 항체 (buffered aqueous solution)
- 비결합(unconjugated) 1차 항체(primary antibody)
- 폴리클로날(polyclonal) 항체
생물학적 소스
rabbit
스펙 정보
| 항목 | 내용 |
|---|---|
| Quality Level | 200 |
| 결합 | Unconjugated |
| 항체 형태 | Affinity isolated antibody |
| 항체 타입 | Primary antibody |
| 클론 | Polyclonal |
| 형태 | Buffered aqueous solution |
| 항원 분자량 | 190 kDa |
| 반응 종 | Rat, Chicken |
| 향상된 검증 | Independent (Antibody Enhanced Validation) |
| 농도 | ~0.5 mg/mL |
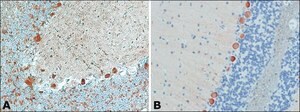
| 적용 기술 | Immunohistochemistry (FFPE, 1:200, rat/chicken cerebellum), Microarray (suitable), Western blot (1:500, rat brain extract) |
| UniProt 번호 | Q02440 |
| 배송 상태 | Dry ice |
| 저장 온도 | −20°C |
유전자 정보
- Human: MYO5A (4644)
- Mouse: Myo5a (17918)
- Rat: Myo5a (25017)
제품 설명
Myosin Va (p190)는 비전형적 클래스 V 마이오신으로, myosin I 및 myosin II와 구별됩니다. 뇌의 신경 및 비신경 세포에서 발견되며, 광범위하게 발현된 액틴 기반 모터 단백질입니다. 클래스 V 마이오신은 두 개의 모터 헤드 도메인과 여섯 개의 IQ 도메인을 포함하는 확장된 조절 목(neck) 도메인을 가지고 있습니다. 또한 약 400개의 아미노산으로 이루어진 독특한 구형 꼬리(globular tail) 도메인을 포함하여, 표적 또는 결합하는 화물(cargo)을 결정하는 역할을 합니다.
🏷️Merck Sigma 상품 둘러보기
동일 브랜드의 다른 상품들을 확인해보세요

Merck Sigma
Merck Monoclonal Anti-ERCC1 antibody produced in mouse
595,300원

Merck Sigma
Merck Monoclonal Anti-EMD antibody produced in mouse
817,800원

Merck Sigma
Merck Anti-Myosin Va (LE-16) antibody produced in rabbit

Merck Sigma
Merck Monoclonal Anti-c-Myc−FITC antibody produced in mouse
676,200원

Merck Sigma
Merck Anti-Huntingtin (N-terminal) antibody produced in rabbit
926,500원
배송/결제/교환/반품 안내
배송 정보
| 기본 배송비 |
| 교환/반품 배송비 |
|
|---|---|---|---|
| 착불 배송비 |
| ||
| 교환/반품 배송비 |
| ||
결제 및 환불 안내
| 결제수단 |
|
|---|---|
| 취소 |
|
| 반품 |
|
| 환급 |
|
교환 및 반품 접수
| 교환 및 반품 접수 기한 |
|
|---|---|
| 교환 및 반품 접수가 가능한 경우 |
|
| 교환 및 반품 접수가 불가능한 경우 |
|
교환 및 반품 신청
| 교환 절차 |
|
|---|---|
| 반품 절차 |
|
문의 0
로그인 후 문의를 할 수 있습니다.