
Merck Anti-MLF2 antibody produced in rabbit
상품 한눈에 보기
Rabbit에서 생산된 Anti-MLF2 항체로, human MLF2 단백질을 인식하는 polyclonal primary antibody입니다. Prestige Antibodies® 시리즈로, IHC 및 IF 실험에 적합하며, 향상된 검증(Enhanced Validation)을 거친 고품질 항체입니다.
브랜드: Merck Sigma
✨AI 추천 연관 상품
AI가 분석한 이 상품과 연관된 추천 상품들을 확인해보세요
연관 상품을 찾고 있습니다...
Anti-MLF2 antibody produced in rabbit
제품 개요
Ab1, Prestige Antibodies® Powered by Atlas Antibodies
Affinity isolated antibody, buffered aqueous glycerol solution
제품 사양
| 항목 | 내용 |
|---|---|
| 생물학적 소스 | Rabbit |
| 품질 등급 | 100 |
| 결합 형태 | Unconjugated |
| 항체 형태 | Affinity isolated antibody |
| 항체 유형 | Primary antibodies |
| 클론 | Polyclonal |
| 제품 라인 | Prestige Antibodies® Powered by Atlas Antibodies |
| 형태 | Buffered aqueous glycerol solution |
| 반응 종 | Human |
| 포장 단위 | 25 μL (small pack) |
| 향상된 검증 | Independent, Orthogonal RNAseq |
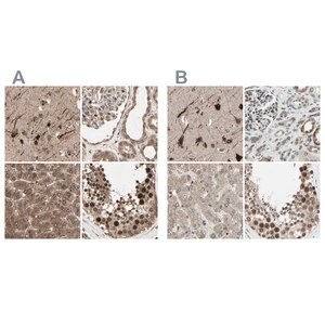
| 적용 기술 | Immunofluorescence (0.25–2 μg/mL), Immunohistochemistry (1:20–1:50) |
| 면역원 서열 | MFRFMRDVEPEDPMFLMDPFAIHRQHMSRMLSGGFGYSPFLSITDGNMPGTRPASRRMQQA |
| UniProt 번호 | Q15773 |
| 배송 상태 | Wet ice |
| 저장 온도 | −20°C |
| 유전자 정보 | Human MLF2 (myeloid leukemia factor 2), MLF2(8079) |
제품 설명
MLF2 (myeloid leukemia factor 2)는 248개의 아미노산으로 구성된 단백질로, MLF1 단백질과 높은 유사성을 보입니다. 이 유전자는 인간 염색체 12p13에 위치하며, 744bp의 open reading frame을 가집니다. MLF2 mRNA는 다양한 조직에서 보편적으로 발현됩니다.
향상된 검증
본 제품은 독립적(Independent) 및 Orthogonal RNAseq 검증을 통해 신뢰성을 확보하였으며, Antibody Enhanced Validation에 대한 자세한 내용을 참고할 수 있습니다.
🏷️Merck Sigma 상품 둘러보기
동일 브랜드의 다른 상품들을 확인해보세요

Merck Sigma
Merck Anti-SOX30 antibody produced in rabbit
895,700원

Merck Sigma
Merck Anti-SORT1 antibody produced in rabbit
817,800원

Merck Sigma
Merck Anti-MLF2 antibody produced in rabbit
370,530원

Merck Sigma
Merck Anti-MORC4 antibody produced in rabbit
895,700원

Merck Sigma
Merck Anti-MEST antibody produced in rabbit
370,530원
배송/결제/교환/반품 안내
배송 정보
| 기본 배송비 |
| 교환/반품 배송비 |
|
|---|---|---|---|
| 착불 배송비 |
| ||
| 교환/반품 배송비 |
| ||
결제 및 환불 안내
| 결제수단 |
|
|---|---|
| 취소 |
|
| 반품 |
|
| 환급 |
|
교환 및 반품 접수
| 교환 및 반품 접수 기한 |
|
|---|---|
| 교환 및 반품 접수가 가능한 경우 |
|
| 교환 및 반품 접수가 불가능한 경우 |
|
교환 및 반품 신청
| 교환 절차 |
|
|---|---|
| 반품 절차 |
|
문의 0
로그인 후 문의를 할 수 있습니다.