
Merck Anti-GLA antibody produced in rabbit
상품 한눈에 보기
토끼에서 생산된 Anti-GLA 항체로 인간 GLA 단백질에 반응하는 폴리클로날 1차 항체입니다. Prestige Antibodies® 라인 제품으로 면역조직화학(IHC)에 적합합니다. −20°C에서 보관하며 향상된 검증(Enhanced Validation)을 거친 고품질 항체입니다.
브랜드: Merck Sigma
✨AI 추천 연관 상품
AI가 분석한 이 상품과 연관된 추천 상품들을 확인해보세요
연관 상품을 찾고 있습니다...
Anti-GLA antibody produced in rabbit
제품 개요
Ab1, Prestige Antibodies® Powered by Atlas Antibodies
Affinity isolated antibody, buffered aqueous glycerol solution
α-D-Galactosidase A (GLA)는 리소좀 효소로서 glycolipid 및 glycoprotein의 α-galactosyl기를 제거하는 glycoside hydrolase입니다. GLA 결핍은 다양한 조직에서 globotriaosylsphingosine (Gb3)의 축적을 초래하여 Fabry disease(FD)의 병리적 현상을 유발합니다.
제품 사양
| 항목 | 내용 |
|---|---|
| 생물학적 소스 | Rabbit |
| 품질 등급 | 100 |
| 결합 형태 | Unconjugated |
| 항체 형태 | Affinity isolated antibody |
| 항체 유형 | Primary antibodies |
| 클론 | Polyclonal |
| 제품 라인 | Prestige Antibodies® Powered by Atlas Antibodies |
| 제형 | Buffered aqueous glycerol solution |
| 반응 종 | Human |
| 포장 | 25 μL (small pack) |
| 향상된 검증 | Independent, Orthogonal RNAseq |
| 적용 기술 | Immunohistochemistry (IHC): 1:500–1:1000 |
| 면역원 서열 | HISPQAKALLQDKDVIAINQDPLGKQGYQLRQGDNFEVWERPLSGLAWAVAMINRQEIGGPRSYTIAVASLGKGVACNPACFITQLLPVKRKLGFYEWTSRLRSHINPTGT |
| UniProt 수납 번호 | P06280 |
| 배송 상태 | Wet ice |
| 저장 온도 | −20°C |
| Gene Information | Human GLA(2717) |
추가 정보
Learn more about Antibody Enhanced Validation
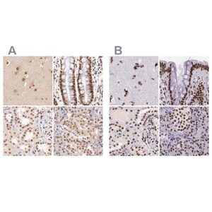
제품 이미지
🏷️Merck Sigma 상품 둘러보기
동일 브랜드의 다른 상품들을 확인해보세요

Merck Sigma
Merck Anti-GRIA2 antibody produced in rabbit
370,530원

Merck Sigma
Merck Anti-GRHL1 antibody produced in rabbit
895,600원

Merck Sigma
Merck Anti-GLA antibody produced in rabbit
370,530원

Merck Sigma
Merck Anti-GPKOW antibody produced in rabbit
895,700원

Merck Sigma
Merck Anti-GRAP2 antibody produced in rabbit
817,800원
배송/결제/교환/반품 안내
배송 정보
| 기본 배송비 |
| 교환/반품 배송비 |
|
|---|---|---|---|
| 착불 배송비 |
| ||
| 교환/반품 배송비 |
| ||
결제 및 환불 안내
| 결제수단 |
|
|---|---|
| 취소 |
|
| 반품 |
|
| 환급 |
|
교환 및 반품 접수
| 교환 및 반품 접수 기한 |
|
|---|---|
| 교환 및 반품 접수가 가능한 경우 |
|
| 교환 및 반품 접수가 불가능한 경우 |
|
교환 및 반품 신청
| 교환 절차 |
|
|---|---|
| 반품 절차 |
|
문의 0
로그인 후 문의를 할 수 있습니다.