
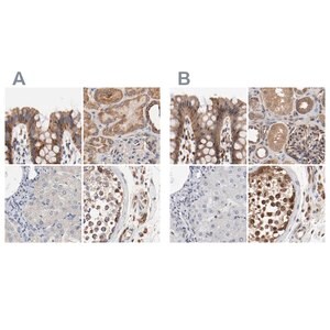
Merck Anti-AFG3L2 antibody produced in rabbit
상품 한눈에 보기
토끼에서 생산된 Anti-AFG3L2 폴리클로날 항체로 인간 단백질에 반응합니다. Prestige Antibodies® 라인 제품이며, 친화성 정제된 항체입니다. 면역조직화학(IHC)용으로 사용되며, −20°C에서 보관합니다.
브랜드: Merck Sigma
✨AI 추천 연관 상품
AI가 분석한 이 상품과 연관된 추천 상품들을 확인해보세요
연관 상품을 찾고 있습니다...
Anti-AFG3L2 antibody produced in rabbit
제품 개요
Ab2, Prestige Antibodies® Powered by Atlas Antibodies
Affinity isolated antibody, buffered aqueous glycerol solution
생물학적 정보
| 항목 | 내용 |
|---|---|
| 생물학적 소스 | Rabbit |
| 클론 | Polyclonal |
| 결합 | Unconjugated |
| 항체 형태 | Affinity isolated antibody |
| 항체 유형 | Primary antibody |
| 제품 라인 | Prestige Antibodies® Powered by Atlas Antibodies |
| 형태 | Buffered aqueous glycerol solution |
| Species reactivity | Human |
| 포장 | 25 μL (small pack) |
| 향상된 검증 | Independent |
| Technique(s) | Immunohistochemistry: 1:20–1:50 |
| 면역원 서열 | DKLARKLASLTPGFSGADVANVCNEAALIAARHLSDSINQKHFEQAIERVIGGLEKKTQVLQPEEKKTVAYHEAGHAVAGWYLEHADPLLKVSIIPRGKGLGYAQYLPKEQYLYTKEQLLDRMCMTLGGRVSEEIFFGRITTGAQDD |
| UniProt 수납 번호 | Q9Y4W6 |
| 배송 상태 | Wet ice |
| 저장 온도 | −20°C |
| Gene Information | Human ... AFG3L2(10939) |
| 단백질 설명 | AFG3-like protein 2 recombinant protein epitope signature tag (PrEST) |
품질 수준
Quality Level: 100
추가 정보
Learn more about Antibody Enhanced Validation
제품 이미지
(이미지 없음)
🏷️Merck Sigma 상품 둘러보기
동일 브랜드의 다른 상품들을 확인해보세요

Merck Sigma
Merck Anti-ADA antibody produced in rabbit
817,800원

Merck Sigma
Merck Anti-AHSG antibody produced in rabbit
370,530원

Merck Sigma
Merck Anti-AFG3L2 antibody produced in rabbit
370,530원

Merck Sigma
Merck Anti-AGT antibody produced in rabbit
370,530원

Merck Sigma
Merck Anti-TNFRSF21 antibody produced in rabbit
778,600원
배송/결제/교환/반품 안내
배송 정보
| 기본 배송비 |
| 교환/반품 배송비 |
|
|---|---|---|---|
| 착불 배송비 |
| ||
| 교환/반품 배송비 |
| ||
결제 및 환불 안내
| 결제수단 |
|
|---|---|
| 취소 |
|
| 반품 |
|
| 환급 |
|
교환 및 반품 접수
| 교환 및 반품 접수 기한 |
|
|---|---|
| 교환 및 반품 접수가 가능한 경우 |
|
| 교환 및 반품 접수가 불가능한 경우 |
|
교환 및 반품 신청
| 교환 절차 |
|
|---|---|
| 반품 절차 |
|
문의 0
로그인 후 문의를 할 수 있습니다.