
Merck Anti-DGCR14 antibody produced in rabbit
래빗에서 생산된 Anti-DGCR14 폴리클로날 항체로, Atlas Antibodies의 Prestige Antibodies® 라인 제품입니다. 인간, 마우스, 랫트에 반응하며 Western blot 및 IHC에 사용 가능합니다. 친화 정제된 글리세롤 완충 용액 형태로 −20°C 보관합니다.
✨AI 추천 연관 상품
AI가 분석한 이 상품과 연관된 추천 상품들을 확인해보세요
연관 상품을 찾고 있습니다...
Anti-DGCR14 antibody produced in rabbit
제품 개요
Ab2, Prestige Antibodies® Powered by Atlas Antibodies
Affinity isolated antibody, buffered aqueous glycerol solution
생물학적 소스
rabbit
품질 등급
100 (M-Clarity Program)
결합 형태
Unconjugated
항체 형태
Affinity isolated antibody
항체 유형
Primary antibody
클론
Polyclonal
제품 라인
Prestige Antibodies® Powered by Atlas Antibodies
형태
Buffered aqueous glycerol solution
반응 종
mouse, rat, human
향상된 검증
Independent
Learn more about Antibody Enhanced Validation
적용 기술
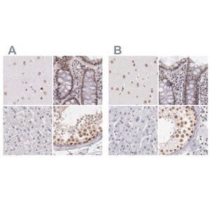
- Immunoblotting: 0.04–0.4 μg/mL
- Immunohistochemistry: 1:50–1:200
면역원 서열
LRVEGSETPYVDRTPGPAFKILEPGRRERLGLKMANEAAAKNRAKKQEALRRVTENLASLTPKGLSPAMSPALQRLVSRTASKYTDRALRASYTPSPARSTHLKTPASGLQTPTSTPAPGSATRTPLTQDPASITDNL
배송 상태
Wet ice
저장 온도
−20°C
유전자 정보
human [DGCR14 (8220)]
Protein DGCR14 recombinant protein epitope signature tag (PrEST)
제품 스펙 요약
| 항목 | 내용 |
|---|---|
| Biological Source | Rabbit |
| Quality Level | 100 |
| Conjugation | Unconjugated |
| Antibody Form | Affinity isolated |
| Antibody Type | Primary |
| Clone | Polyclonal |
| Product Line | Prestige Antibodies® |
| Form | Buffered aqueous glycerol solution |
| Species Reactivity | Mouse, Rat, Human |
| Validation | Independent (Enhanced Validation) |
| Techniques | Immunoblotting, Immunohistochemistry |
| Shipping Condition | Wet ice |
| Storage Temperature | −20°C |
| Gene | DGCR14 (Human, 8220) |
🏷️Merck Sigma 상품 둘러보기
동일 브랜드의 다른 상품들을 확인해보세요

Merck Sigma
Merck Anti-PITRM1 antibody produced in rabbit
895,700원

Merck Sigma
Merck Anti-DGCR14 antibody produced in rabbit
817,800원

Merck Sigma
Merck Anti-DGCR14 antibody produced in rabbit
817,800원

Merck Sigma
Merck Anti-DAZAP1 antibody produced in rabbit
895,700원

Merck Sigma
Merck Anti-DMPK antibody produced in rabbit
817,800원
배송/결제/교환/반품 안내
배송 정보
| 기본 배송비 |
| 교환/반품 배송비 |
|
|---|---|---|---|
| 착불 배송비 |
| ||
| 교환/반품 배송비 |
| ||
결제 및 환불 안내
| 결제수단 |
|
|---|---|
| 취소 |
|
| 반품 |
|
| 환급 |
|
교환 및 반품 접수
| 교환 및 반품 접수 기한 |
|
|---|---|
| 교환 및 반품 접수가 가능한 경우 |
|
| 교환 및 반품 접수가 불가능한 경우 |
|
교환 및 반품 신청
| 교환 절차 |
|
|---|---|
| 반품 절차 |
|