
Merck Anti-CDR2 antibody produced in rabbit
Merck의 Anti-CDR2 rabbit polyclonal antibody로 인간 CDR2 단백질 검출에 적합. Prestige Antibodies® 라인으로 높은 특이성과 신뢰성 제공. Western blot 및 IHC용으로 검증됨. −20°C에서 보관하며 recombinant expression으로 향상된 검증 완료.
✨AI 추천 연관 상품
AI가 분석한 이 상품과 연관된 추천 상품들을 확인해보세요
연관 상품을 찾고 있습니다...
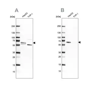
Anti-CDR2 antibody produced in rabbit
Prestige Antibodies® Powered by Atlas Antibodies
Affinity isolated antibody, buffered aqueous glycerol solution.
제품 개요
이 항체는 인간 CDR2 단백질을 인식하는 rabbit polyclonal antibody로, Western blot 및 immunohistochemistry(IHC)에 적합합니다. Prestige Antibodies® 라인으로 향상된 검증을 거쳤으며, recombinant expression 기반으로 높은 특이성과 재현성을 제공합니다.
제품 사양
| 항목 | 내용 |
|---|---|
| 생물학적 소스 | Rabbit |
| Quality Level | 100 |
| 결합 | Unconjugated |
| 항체 형태 | Affinity isolated antibody |
| 항체 유형 | Primary antibody |
| 클론 | Polyclonal |
| 제품 라인 | Prestige Antibodies® Powered by Atlas Antibodies |
| 형태 | Buffered aqueous glycerol solution |
| Species Reactivity | Human |
| 포장 | 25 μL (small pack) |
| 향상된 검증 | Recombinant expression |
| 기술(Technique) | Immunoblotting: 0.04–0.4 μg/mL Immunohistochemistry: 1:1000–1:2500 |
| 면역원 서열 | GVEKLVPDSLYVPFKEPSQSLLEEMFLTVPESHRKPLKRSSSETILSSLAGSDIVKGHEETCIRRAKAVKQRGISLLHEVDTQYSALKVKYEELLKKCQEEQDSLSHKAVQTSRAAAKDLTGV |
| UniProt 수납 번호 | Q01850 |
| 배송 상태 | Wet ice |
| 저장 온도 | −20°C |
Gene Information
Human gene: CDR2 (1039)
Cerebellar degeneration-related protein-2 (CDR2)는 인간 염색체 16p12.3에 위치하며, helix-leucine zipper motif를 포함하는 세포질 단백질을 암호화합니다. 성체 생쥐 조직에서 mRNA는 널리 발현되지만, 단백질은 주로 뇌, 고환, 부인과 및 유방 종양에서 발견되어 전사 후 조절 가능성을 시사합니다. 종양 세포에서 세포 주기 관련 발현을 보이며, 유사분열 단계에서 가장 높은 수준으로 나타납니다.
참고 문서
Learn more about Antibody Enhanced Validation
제품 이미지
(이미지 없음)
🏷️Merck Sigma 상품 둘러보기
동일 브랜드의 다른 상품들을 확인해보세요

Merck Sigma
Merck Anti-SCAF4 antibody produced in rabbit
895,700원

Merck Sigma
Merck Anti-AZGP1 antibody produced in rabbit
817,800원

Merck Sigma
Merck Anti-CDR2 antibody produced in rabbit
370,530원

Merck Sigma
Merck Anti-PIP antibody produced in rabbit
817,800원

Merck Sigma
Merck Anti-STMN3 antibody produced in rabbit
370,530원
배송/결제/교환/반품 안내
배송 정보
| 기본 배송비 |
| 교환/반품 배송비 |
|
|---|---|---|---|
| 착불 배송비 |
| ||
| 교환/반품 배송비 |
| ||
결제 및 환불 안내
| 결제수단 |
|
|---|---|
| 취소 |
|
| 반품 |
|
| 환급 |
|
교환 및 반품 접수
| 교환 및 반품 접수 기한 |
|
|---|---|
| 교환 및 반품 접수가 가능한 경우 |
|
| 교환 및 반품 접수가 불가능한 경우 |
|
교환 및 반품 신청
| 교환 절차 |
|
|---|---|
| 반품 절차 |
|