
Merck Anti-STK24 antibody produced in rabbit
토끼에서 생산된 Anti-STK24 폴리클로날 항체로, Prestige Antibodies® 라인 제품입니다. 인간, 생쥐, 랫트 반응성을 가지며, 면역블로팅 및 면역조직화학에 사용 가능합니다. 버퍼링된 글리세롤 용액 형태로 −20°C에서 보관합니다.
✨AI 추천 연관 상품
AI가 분석한 이 상품과 연관된 추천 상품들을 확인해보세요
연관 상품을 찾고 있습니다...
Anti-STK24 antibody produced in rabbit
제품 개요
Prestige Antibodies® Powered by Atlas Antibodies
Affinity isolated antibody, buffered aqueous glycerol solution (Ab1)
생물학적 소스
rabbit
품질 등급
100 (M-Clarity Program)
결합 형태
unconjugated
항체 형태
affinity isolated antibody
항체 유형
primary antibodies
클론
polyclonal
제품 라인
Prestige Antibodies® Powered by Atlas Antibodies
제형
buffered aqueous glycerol solution
반응 종
rat, human, mouse
포장
25 μL (small pack)
향상된 검증
independent
자세한 내용은 Antibody Enhanced Validation 참고
적용 기술
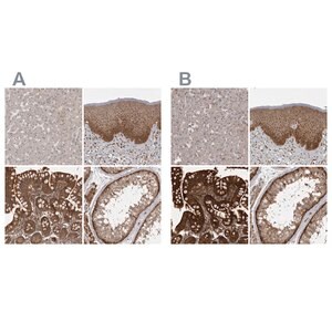
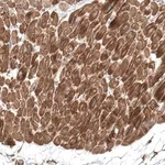
- Immunoblotting: 0.04–0.4 μg/mL
- Immunohistochemistry: 1:20–1:50
면역원 서열
QCLSTIISPLFAELKEKSQACGGNLGSIEELRGAIYLAEEACPGISDTMVAQLVQRLQRYSLSGG
UniProt 수납 번호
배송 상태
wet ice
저장 온도
−20°C
유전자 정보
Human STK24 (8428)
Serine/threonine-protein kinase 24 recombinant protein epitope signature tag (PrEST)
제품 스펙 요약
| 항목 | 내용 |
|---|---|
| Biological Source | Rabbit |
| Quality Level | 100 |
| Conjugation | Unconjugated |
| Antibody Type | Primary, Polyclonal |
| Form | Buffered aqueous glycerol solution |
| Species Reactivity | Rat, Human, Mouse |
| Packaging | 25 μL |
| Storage Temperature | −20°C |
| Shipping Condition | Wet ice |
| Applications | Immunoblotting, Immunohistochemistry |
🏷️Merck Sigma 상품 둘러보기
동일 브랜드의 다른 상품들을 확인해보세요

Merck Sigma
Merck Anti-TCAP antibody produced in rabbit
895,700원

Merck Sigma
Merck Anti-ATP6V0A1 antibody produced in rabbit
370,530원

Merck Sigma
Merck Anti-STK24 antibody produced in rabbit
895,700원

Merck Sigma
Merck Anti-TP53BP1 antibody produced in rabbit
370,530원

Merck Sigma
Merck Anti-LPCAT1 antibody produced in rabbit
895,700원
배송/결제/교환/반품 안내
배송 정보
| 기본 배송비 |
| 교환/반품 배송비 |
|
|---|---|---|---|
| 착불 배송비 |
| ||
| 교환/반품 배송비 |
| ||
결제 및 환불 안내
| 결제수단 |
|
|---|---|
| 취소 |
|
| 반품 |
|
| 환급 |
|
교환 및 반품 접수
| 교환 및 반품 접수 기한 |
|
|---|---|
| 교환 및 반품 접수가 가능한 경우 |
|
| 교환 및 반품 접수가 불가능한 경우 |
|
교환 및 반품 신청
| 교환 절차 |
|
|---|---|
| 반품 절차 |
|