
Merck Anti-MECR antibody produced in rabbit
상품 한눈에 보기
토끼 유래 polyclonal Anti-MECR 항체로, 인간 MECR 단백질을 특이적으로 인식합니다. Prestige Antibodies® 라인 제품으로 affinity purified 되어 있으며, Western blot 및 IHC에 적합합니다. −20°C에서 보관하며 wet ice로 배송됩니다.
브랜드: Merck Sigma
✨AI 추천 연관 상품
AI가 분석한 이 상품과 연관된 추천 상품들을 확인해보세요
연관 상품을 찾고 있습니다...
Anti-MECR antibody produced in rabbit
Prestige Antibodies® Powered by Atlas Antibodies
Affinity isolated antibody, buffered aqueous glycerol solution, Ab2
제품 개요
MECR (Mitochondrial trans-2-enoyl-CoA reductase)은 미토콘드리아에 위치한 단백질로, nuclear receptor binding factor-1 (NRBF-1)로도 알려져 있습니다. N-말단의 미토콘드리아 타깃 서열을 포함하며, 이는 미토콘드리아 내 위치 결정에 필수적입니다. 이 단백질은 핵 호르몬 수용체인 peroxisome proliferator-activated receptor α (PPARα)의 결합 단백질로 처음 확인되었습니다.
제품 사양
| 항목 | 내용 |
|---|---|
| 생물학적 소스 | Rabbit |
| Quality Level | 100 |
| 결합 형태 | Unconjugated |
| 항체 형태 | Affinity isolated antibody |
| 항체 유형 | Primary antibody |
| 클론 | Polyclonal |
| 제품 라인 | Prestige Antibodies® Powered by Atlas Antibodies |
| 형태 | Buffered aqueous glycerol solution |
| 종 반응성 | Human |
| 포장 단위 | 25 μL (small pack) |
| 향상된 검증 | Independent (Antibody Enhanced Validation) |
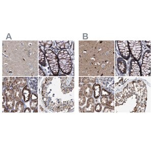
| 적용 기술 | Immunoblotting: 0.04–0.4 μg/mL Immunohistochemistry: 1:50–1:200 |
| 면역원 서열 | VRALVYGHHGDPAKVVELKNLELAAVRGSDVRVKMLAAPINPSDINMIQGNYGLLPELPAVGGNEGVAQVVAVGSNVTGLKPGDWVIPANAGLGTWRTEAVFSEEALIQV |
| UniProt 수납 번호 | Q9BV79 |
| 배송 상태 | Wet ice |
| 저장 온도 | −20°C |
| Gene Information | Human MECR (51102) |
참고 정보
- Enhanced Validation: 이 항체는 독립적으로 검증된 Enhanced Validation 항체입니다.
- 용도: Western blot, Immunohistochemistry 등 단백질 발현 분석에 사용됩니다.
🏷️Merck Sigma 상품 둘러보기
동일 브랜드의 다른 상품들을 확인해보세요

Merck Sigma
Merck Anti-SLC47A1 antibody produced in rabbit
370,530원

Merck Sigma
Merck Anti-TACC3 antibody produced in rabbit
817,800원

Merck Sigma
Merck Anti-MECR antibody produced in rabbit
895,600원

Merck Sigma
Merck Anti-KIF9 antibody produced in rabbit
895,700원

Merck Sigma
Merck Anti-TP53I3 antibody produced in rabbit
895,700원
배송/결제/교환/반품 안내
배송 정보
| 기본 배송비 |
| 교환/반품 배송비 |
|
|---|---|---|---|
| 착불 배송비 |
| ||
| 교환/반품 배송비 |
| ||
결제 및 환불 안내
| 결제수단 |
|
|---|---|
| 취소 |
|
| 반품 |
|
| 환급 |
|
교환 및 반품 접수
| 교환 및 반품 접수 기한 |
|
|---|---|
| 교환 및 반품 접수가 가능한 경우 |
|
| 교환 및 반품 접수가 불가능한 경우 |
|
교환 및 반품 신청
| 교환 절차 |
|
|---|---|
| 반품 절차 |
|
문의 0
로그인 후 문의를 할 수 있습니다.