
Merck Anti-MKS1 antibody produced in rabbit
Rabbit에서 생산된 polyclonal Anti-MKS1 항체로, 인간 MKS1 단백질을 특이적으로 인식합니다. Prestige Antibodies® 라인 제품으로 면역블롯팅 및 면역조직화학에 적합하며, 독립적으로 향상된 검증을 거쳤습니다. −20°C에서 보관하며 25 μL 포장으로 제공됩니다.
✨AI 추천 연관 상품
AI가 분석한 이 상품과 연관된 추천 상품들을 확인해보세요
연관 상품을 찾고 있습니다...
Anti-MKS1 antibody produced in rabbit
제품 개요
Prestige Antibodies® Powered by Atlas Antibodies
Affinity isolated antibody, buffered aqueous glycerol solution, Ab2
생물학적 소스
rabbit
품질 등급
100
결합
unconjugated
항체 형태
affinity isolated antibody
항체 유형
primary antibodies
클론
polyclonal
제품 라인
Prestige Antibodies® Powered by Atlas Antibodies
제형
buffered aqueous glycerol solution
반응 종
human
포장
antibody small pack of 25 μL
향상된 검증
independent
자세한 내용은 Antibody Enhanced Validation 문서를 참고하세요.
적용 기술
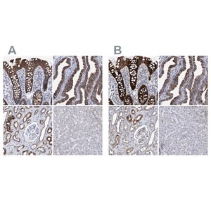
- Immunoblotting: 0.04–0.4 μg/mL
- Immunohistochemistry: 1:50–1:200
면역원 서열
TCTTKSLAMDKVAHFSYPFTFEAFFLHEDESSDALPEWPVLYCEVLSLDFWQRYRVEGYGAVVLPATPGSHTLTVSTWRPVELGTVA
UniProt 수납 번호
배송 상태
wet ice
저장 온도
−20°C
유전자 정보
human MKS1(54903)
MKS1 (Meckel syndrome, type 1)은 진화적으로 보존된 새로운 세포질 단백질로, 기저체에 위치합니다. 뇌, 간, 신장, 그리고 발달 중인 상지의 연골 조직에서 발현이 확인되었으며, 염색체 17q22에 위치합니다.
🏷️Merck Sigma 상품 둘러보기
동일 브랜드의 다른 상품들을 확인해보세요

Merck Sigma
Merck Anti-KLHL41 antibody produced in rabbit
370,530원

Merck Sigma
Merck Anti-PRPF4 antibody produced in rabbit
895,600원

Merck Sigma
Merck Anti-MKS1 antibody produced in rabbit
895,700원

Merck Sigma
Merck Anti-ACTL7B antibody produced in rabbit
895,700원

Merck Sigma
Merck Anti-SIRT5 antibody produced in rabbit
817,800원
배송/결제/교환/반품 안내
배송 정보
| 기본 배송비 |
| 교환/반품 배송비 |
|
|---|---|---|---|
| 착불 배송비 |
| ||
| 교환/반품 배송비 |
| ||
결제 및 환불 안내
| 결제수단 |
|
|---|---|
| 취소 |
|
| 반품 |
|
| 환급 |
|
교환 및 반품 접수
| 교환 및 반품 접수 기한 |
|
|---|---|
| 교환 및 반품 접수가 가능한 경우 |
|
| 교환 및 반품 접수가 불가능한 경우 |
|
교환 및 반품 신청
| 교환 절차 |
|
|---|---|
| 반품 절차 |
|