
Merck Anti-MRPL10 antibody produced in rabbit
토끼에서 생산된 Anti-MRPL10 항체로 인간 MRPL10 단백질을 검출하는 데 적합합니다. Prestige Antibodies® 라인 제품이며, 비결합 폴리클로날 항체 형태입니다. 면역블롯, 면역형광, 면역조직화학 등 다양한 기술에 사용 가능합니다.
✨AI 추천 연관 상품
AI가 분석한 이 상품과 연관된 추천 상품들을 확인해보세요
연관 상품을 찾고 있습니다...
Anti-MRPL10 antibody produced in rabbit
제품 개요
Prestige Antibodies® Powered by Atlas Antibodies
Affinity isolated antibody, buffered aqueous glycerol solution
생물학적 소스
rabbit
품질 등급
100 (M-Clarity Program)
결합 형태
unconjugated
항체 형태
affinity isolated antibody
항체 종류
primary antibodies
클론
polyclonal
제품 라인
Prestige Antibodies® Powered by Atlas Antibodies
제형
buffered aqueous glycerol solution
반응 종
human
포장
antibody small pack of 25 μL
향상된 검증
independent
자세한 내용은 Antibody Enhanced Validation 문서를 참조하세요.
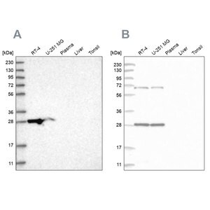
적용 기술
| 기술 | 사용 농도 |
|---|---|
| Immunoblotting | 0.04–0.4 μg/mL |
| Immunofluorescence | 0.25–2 μg/mL |
| Immunohistochemistry | 1:20–1:50 |
면역원 서열
NVALSAEDKLLMRHQLRKHKILMKVFPNQVLKPFLEDSKYQNLLPLFVGHNMLLVSEEPKVKEMVRILRTVPFLPLLGGC
UniProt 수납 번호
배송 상태
wet ice
저장 온도
−20°C
유전자 정보
human MRPL10 (124995)
MRPL10 (39S ribosomal protein L10, mitochondrial)은 미토콘드리아 39S 리보솜 소단위체에 존재하는 단백질로, 아세틸화 형태로 존재합니다.
🏷️Merck Sigma 상품 둘러보기
동일 브랜드의 다른 상품들을 확인해보세요

Merck Sigma
Merck Anti-GOLGA2 antibody produced in rabbit
817,800원

Merck Sigma
Merck Anti-C9orf78 antibody produced in rabbit
895,700원

Merck Sigma
Merck Anti-MRPL10 antibody produced in rabbit
895,700원

Merck Sigma
Merck Anti-GPHN antibody produced in rabbit
895,700원

Merck Sigma
Merck Anti-ADAM2 antibody produced in rabbit
370,530원
배송/결제/교환/반품 안내
배송 정보
| 기본 배송비 |
| 교환/반품 배송비 |
|
|---|---|---|---|
| 착불 배송비 |
| ||
| 교환/반품 배송비 |
| ||
결제 및 환불 안내
| 결제수단 |
|
|---|---|
| 취소 |
|
| 반품 |
|
| 환급 |
|
교환 및 반품 접수
| 교환 및 반품 접수 기한 |
|
|---|---|
| 교환 및 반품 접수가 가능한 경우 |
|
| 교환 및 반품 접수가 불가능한 경우 |
|
교환 및 반품 신청
| 교환 절차 |
|
|---|---|
| 반품 절차 |
|