
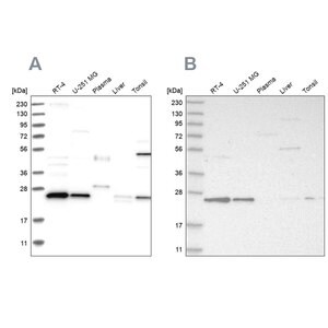
Merck Anti-VPS28 antibody produced in rabbit
상품 한눈에 보기
토끼에서 생산된 Anti-VPS28 polyclonal 항체로, human, mouse, rat 시료에 반응합니다. Prestige Antibodies® 라인 제품으로 affinity purified되어 높은 특이성과 재현성을 제공합니다. Western blot 및 IHC에 적합하며, −20°C에서 보관합니다.
브랜드: Merck Sigma
✨AI 추천 연관 상품
AI가 분석한 이 상품과 연관된 추천 상품들을 확인해보세요
연관 상품을 찾고 있습니다...
Anti-VPS28 antibody produced in rabbit
제품 개요
Prestige Antibodies® Powered by Atlas Antibodies
Affinity isolated antibody, buffered aqueous glycerol solution, Ab1
제품 정보
| 항목 | 내용 |
|---|---|
| 생물학적 소스 | Rabbit |
| Quality Level | 100 |
| 결합 | Unconjugated |
| 항체 형태 | Affinity isolated antibody |
| 항체 유형 | Primary antibodies |
| 클론 | Polyclonal |
| 제품 라인 | Prestige Antibodies® Powered by Atlas Antibodies |
| 형태 | Buffered aqueous glycerol solution |
| 반응 종 | Human, Mouse, Rat |
| 포장 단위 | 25 μL (small pack) |
| 향상된 검증 | Independent (Antibody Enhanced Validation) |
| 적용 기술 | Immunoblotting: 0.04–0.4 μg/mL Immunohistochemistry: 1:200–1:500 |
| 면역원 서열 | MFHGIPATPGIGAPGNKPELYEEVKLYKNAREREKYDNMAELFAVVKTMQALEKAYIKDCVSPSEYTAACS |
| UniProt 번호 | Q9UK41 |
| 배송 상태 | Wet ice |
| 저장 온도 | −20°C |
| 관련 유전자 | Human VPS28 (Gene ID: 51160) |
유전자 정보
VPS28 (vacuolar protein sorting-associated protein 28 homolog) 유전자는 인간 염색체 8q24.3에 위치하며, ESCRT-1 (endosomal complexes required for transport) 복합체의 구성 요소입니다. 이 복합체는 막 재구성 과정에 관여하며, 다중소포체 형성과 세포질분열(cytokinesis)에 참여합니다.
🏷️Merck Sigma 상품 둘러보기
동일 브랜드의 다른 상품들을 확인해보세요

Merck Sigma
Merck Anti-RAB32 antibody produced in rabbit
370,530원

Merck Sigma
Merck Anti-TBCE antibody produced in rabbit
895,700원

Merck Sigma
Merck Anti-VPS28 antibody produced in rabbit
370,530원

Merck Sigma
Merck Anti-KYAT3 antibody produced in rabbit
895,700원

Merck Sigma
Merck Anti-GATAD2A antibody produced in rabbit
370,530원
배송/결제/교환/반품 안내
배송 정보
| 기본 배송비 |
| 교환/반품 배송비 |
|
|---|---|---|---|
| 착불 배송비 |
| ||
| 교환/반품 배송비 |
| ||
결제 및 환불 안내
| 결제수단 |
|
|---|---|
| 취소 |
|
| 반품 |
|
| 환급 |
|
교환 및 반품 접수
| 교환 및 반품 접수 기한 |
|
|---|---|
| 교환 및 반품 접수가 가능한 경우 |
|
| 교환 및 반품 접수가 불가능한 경우 |
|
교환 및 반품 신청
| 교환 절차 |
|
|---|---|
| 반품 절차 |
|
문의 0
로그인 후 문의를 할 수 있습니다.