
Merck Anti-OTUD6B antibody produced in rabbit
토끼에서 생산된 Anti-OTUD6B 폴리클로날 항체로, Atlas Antibodies의 Prestige 라인 제품입니다. 인간, 생쥐, 랫트 반응성이 있으며, Western blot, IF, IHC에 적합합니다. 친화 정제된 항체로 −20°C에서 보관합니다.
✨AI 추천 연관 상품
AI가 분석한 이 상품과 연관된 추천 상품들을 확인해보세요
연관 상품을 찾고 있습니다...
Anti-OTUD6B antibody produced in rabbit
제품 개요
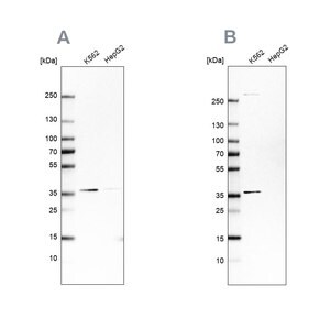
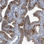
Prestige Antibodies® Powered by Atlas Antibodies의 친화 정제 항체로, buffered aqueous glycerol 용액 형태입니다. 인간, 생쥐, 랫트 시료에서 OTUD6B 단백질 검출에 사용됩니다.
생물학적 소스
rabbit
품질 등급
100 (M-Clarity Program)
결합
unconjugated
항체 형태
affinity isolated antibody
항체 유형
primary antibodies
클론
polyclonal
제품 라인
Prestige Antibodies® Powered by Atlas Antibodies
형태
buffered aqueous glycerol solution
반응성 종
mouse, rat, human
포장
antibody small pack of 25 μL
향상된 검증
independent
자세한 내용은 Antibody Enhanced Validation 참고
적용 기술
- Immunoblotting: 0.04–0.4 μg/mL
- Immunofluorescence: 0.25–2 μg/mL
- Immunohistochemistry: 1:50–1:200
면역원 서열
HCMYKAIEDQLKEKDCALTVVALRSQTAEYMQSHVEDFLPFLTNPNTGDMYTPEEFQKYCEDIVNTAUniProt 수납 번호
배송 상태
wet ice
저장 온도
−20 °C
유전자 정보
Human OTUD6B (51633)
OTU domain-containing protein 6B recombinant protein epitope signature tag (PrEST)
제품 사양 요약
| 항목 | 내용 |
|---|---|
| Biological Source | Rabbit |
| Antibody Type | Polyclonal, Primary |
| Conjugation | Unconjugated |
| Form | Buffered aqueous glycerol solution |
| Species Reactivity | Human, Mouse, Rat |
| Validation | Independent (Enhanced Validation) |
| Storage | −20 °C |
| Shipping | Wet Ice |
| Application | WB, IF, IHC |
| Volume | 25 μL |
🏷️Merck Sigma 상품 둘러보기
동일 브랜드의 다른 상품들을 확인해보세요

Merck Sigma
Merck Anti-IARS2 antibody produced in rabbit
895,700원

Merck Sigma
Merck Anti-FAM213A antibody produced in rabbit
817,800원

Merck Sigma
Merck Anti-OTUD6B antibody produced in rabbit
895,700원

Merck Sigma
Merck Anti-TMEM192 antibody produced in rabbit
895,700원

Merck Sigma
Merck Anti-LRRC6 antibody produced in rabbit
370,530원
배송/결제/교환/반품 안내
배송 정보
| 기본 배송비 |
| 교환/반품 배송비 |
|
|---|---|---|---|
| 착불 배송비 |
| ||
| 교환/반품 배송비 |
| ||
결제 및 환불 안내
| 결제수단 |
|
|---|---|
| 취소 |
|
| 반품 |
|
| 환급 |
|
교환 및 반품 접수
| 교환 및 반품 접수 기한 |
|
|---|---|
| 교환 및 반품 접수가 가능한 경우 |
|
| 교환 및 반품 접수가 불가능한 경우 |
|
교환 및 반품 신청
| 교환 절차 |
|
|---|---|
| 반품 절차 |
|