
Merck Anti-MARCH7 antibody produced in rabbit
상품 한눈에 보기
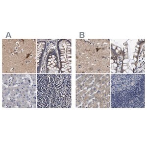
토끼에서 생산된 Anti-MARCH7 항체로, 인간 MARCHF7 단백질을 인식하는 polyclonal 1차 항체입니다. Atlas Antibodies의 Prestige Antibodies® 라인 제품으로, Western blot, IF, IHC 등 다양한 연구에 적합합니다. −20°C에서 보관하며, glycerol 완충 용액 형태로 제공됩니다.
브랜드: Merck Sigma
✨AI 추천 연관 상품
AI가 분석한 이 상품과 연관된 추천 상품들을 확인해보세요
연관 상품을 찾고 있습니다...
Anti-MARCH7 antibody produced in rabbit
Prestige Antibodies® Powered by Atlas Antibodies
Affinity isolated antibody, buffered aqueous glycerol solution, ab2
제품 개요
- 생물학적 소스: Rabbit
- 항체 형태: Affinity isolated antibody
- 항체 타입: Primary antibody (Polyclonal)
- 결합 상태: Unconjugated
- 제품 라인: Prestige Antibodies® Powered by Atlas Antibodies
- 형태: Buffered aqueous glycerol solution
- 종 반응성: Human
- 포장: 25 μL (small pack)
향상된 검증
Independent validation
Learn more about Antibody Enhanced Validation
실험 적용 (Applications)
| Technique | Working concentration / dilution |
|---|---|
| Immunoblotting (WB) | 0.04–0.4 μg/mL |
| Immunofluorescence (IF) | 0.25–2 μg/mL |
| Immunohistochemistry (IHC) | 1:50–1:200 |
면역원 서열 (Immunogen sequence)
SSRSNTQPGFSYSSSRDEAPIISNSERVVSSQRPFQESSDNEGRRTTRRLLSRIASSMSSTFFSRRSSQDSLNTRSLNSENSYVSPRILTASQSRSNVPSASEVPDNRASEASQGFRFLRRRWGLSSLSHNHSSESDSENFNQESE
보관 및 배송
| 항목 | 조건 |
|---|---|
| 배송 상태 | Wet ice |
| 저장 온도 | −20°C |
Gene Information
- Human gene: MARCHF7 (64844)
- Full name: Membrane-associated ring finger (C3HC4) 7
- Recombinant protein epitope signature tag (PrEST)
🏷️Merck Sigma 상품 둘러보기
동일 브랜드의 다른 상품들을 확인해보세요

Merck Sigma
Merck Anti-DARS antibody produced in rabbit
895,700원

Merck Sigma
Merck Anti-DARS antibody produced in rabbit
895,700원

Merck Sigma
Merck Anti-MARCH7 antibody produced in rabbit
370,530원

Merck Sigma
Merck Anti-AKR1B10 antibody produced in rabbit
370,530원

Merck Sigma
Merck Anti-OTUD6B antibody produced in rabbit
895,700원
배송/결제/교환/반품 안내
배송 정보
| 기본 배송비 |
| 교환/반품 배송비 |
|
|---|---|---|---|
| 착불 배송비 |
| ||
| 교환/반품 배송비 |
| ||
결제 및 환불 안내
| 결제수단 |
|
|---|---|
| 취소 |
|
| 반품 |
|
| 환급 |
|
교환 및 반품 접수
| 교환 및 반품 접수 기한 |
|
|---|---|
| 교환 및 반품 접수가 가능한 경우 |
|
| 교환 및 반품 접수가 불가능한 경우 |
|
교환 및 반품 신청
| 교환 절차 |
|
|---|---|
| 반품 절차 |
|
문의 0
로그인 후 문의를 할 수 있습니다.