
Merck Anti-MAP7 antibody produced in rabbit
Rabbit에서 생산된 Anti-MAP7 항체로, 인간 MAP7 단백질을 인식하는 polyclonal primary antibody입니다. Prestige Antibodies® 라인 제품이며, buffered glycerol 용액 형태로 제공됩니다. 면역블롯팅, 면역형광, 면역조직화학 등에 적합합니다.
✨AI 추천 연관 상품
AI가 분석한 이 상품과 연관된 추천 상품들을 확인해보세요
연관 상품을 찾고 있습니다...
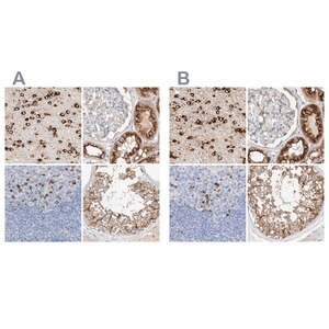
Anti-MAP7 antibody produced in rabbit
제품 개요
Prestige Antibodies® Powered by Atlas Antibodies
Affinity isolated antibody, buffered aqueous glycerol solution, ab1
생물학적 정보
| 항목 | 내용 |
|---|---|
| Biological Source | Rabbit |
| Quality Level | 100 |
| Conjugation | Unconjugated |
| Antibody Form | Affinity isolated antibody |
| Antibody Type | Primary antibodies |
| Clone | Polyclonal |
| Product Line | Prestige Antibodies® Powered by Atlas Antibodies |
| Form | Buffered aqueous glycerol solution |
| Species Reactivity | Human |
| Packaging | Small pack, 25 μL |
| Shipping Condition | Wet ice |
| Storage Temperature | −20°C |
향상된 검증 (Enhanced Validation)
- Orthogonal RNAseq
- Recombinant expression
- Independent
자세한 내용은 Antibody Enhanced Validation 관련 기술 문서를 참고하세요.
적용 기술 (Applications)
| Technique | Recommended Concentration |
|---|---|
| Immunoblotting | 0.04–0.4 μg/mL |
| Immunofluorescence | 0.25–2 μg/mL |
| Immunohistochemistry | 1:500–1:1000 |
면역원 서열 (Immunogen Sequence)
IAKGALTGGTEVSALPCTTNAPGNGKPVGSPHVVTSHQSKVTVESTPDLEKQPNENGVSVQ
UniProt 정보
유전자 정보 (Gene Information)
Human: MAP7 (9053)
MAP7 (microtubule associated protein 7)은 N- 및 C-말단 근처에 α-helix 구조를 가지며, sacral dysgenesis(SD)의 후보 유전자로 알려져 있습니다. 인간 염색체 6에 위치하며, 신경판의 바닥 부위에서 더 많이 발현되어 중추 및 말초 신경계 형성 시 세포 이동이 시작되는 영역에서 기능합니다.
🏷️Merck Sigma 상품 둘러보기
동일 브랜드의 다른 상품들을 확인해보세요

Merck Sigma
Merck Anti-CDV3 antibody produced in rabbit
895,700원

Merck Sigma
Merck Anti-APEH antibody produced in rabbit
370,530원

Merck Sigma
Merck Anti-MAP7 antibody produced in rabbit
370,530원

Merck Sigma
Merck Anti-PGM3 antibody produced in rabbit
895,600원

Merck Sigma
Merck Anti-RAD23B antibody produced in rabbit
817,800원
배송/결제/교환/반품 안내
배송 정보
| 기본 배송비 |
| 교환/반품 배송비 |
|
|---|---|---|---|
| 착불 배송비 |
| ||
| 교환/반품 배송비 |
| ||
결제 및 환불 안내
| 결제수단 |
|
|---|---|
| 취소 |
|
| 반품 |
|
| 환급 |
|
교환 및 반품 접수
| 교환 및 반품 접수 기한 |
|
|---|---|
| 교환 및 반품 접수가 가능한 경우 |
|
| 교환 및 반품 접수가 불가능한 경우 |
|
교환 및 반품 신청
| 교환 절차 |
|
|---|---|
| 반품 절차 |
|