
Merck Anti-LRGUK antibody produced in rabbit
Rabbit에서 생산된 Anti-LRGUK 폴리클로날 항체로, 인간 단백질 LRGUK을 인식합니다. Prestige Antibodies® 라인 제품이며, 친화성 정제된 항체입니다. 면역블롯 및 면역조직화학에 적합하며, −20°C에서 보관합니다.
✨AI 추천 연관 상품
AI가 분석한 이 상품과 연관된 추천 상품들을 확인해보세요
연관 상품을 찾고 있습니다...
Anti-LRGUK antibody produced in rabbit
제품 개요
Prestige Antibodies® Powered by Atlas Antibodies
Affinity isolated antibody, buffered aqueous glycerol solution, ab2
생물학적 소스
rabbit
품질 등급
100
결합 형태
unconjugated
항체 형태
affinity isolated antibody
항체 유형
primary antibodies
클론
polyclonal
제품 라인
Prestige Antibodies® Powered by Atlas Antibodies
제형
buffered aqueous glycerol solution
반응 종
human
향상된 검증
recombinant expression
Antibody Enhanced Validation(향상된 항체 검증)에 대한 자세한 내용은 관련 기술 문서를 참조하십시오.
적용 기술
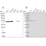
- Immunoblotting: 0.04–0.4 μg/mL
- Immunohistochemistry: 1:20–1:50
면역원 서열
KCSLFRFCPWSKELPFQPPEGSISSHLGSGASDSETEETRKALPIQSFSHEKESHQHRQHSVPVISRPGSNVKPTLPP
UniProt 수납 번호
배송 상태
wet ice
저장 온도
−20°C
유전자 정보
human ... LRGUK(136332)
Leucine-rich repeats and guanylate kinase domain containing recombinant protein epitope signature tag (PrEST)
제품 사양
| 항목 | 내용 |
|---|---|
| Biological source | Rabbit |
| Quality Level | 100 |
| Conjugate | Unconjugated |
| Antibody form | Affinity isolated |
| Antibody type | Primary |
| Clone | Polyclonal |
| Product line | Prestige Antibodies® |
| Form | Buffered aqueous glycerol solution |
| Species reactivity | Human |
| Validation | Recombinant expression |
| Techniques | Immunoblotting, Immunohistochemistry |
| Immunogen sequence | KCSLFRFCPWSKELPFQPPEGSISSHLGSGASDSETEETRKALPIQSFSHEKESHQHRQHSVPVISRPGSNVKPTLPP |
| UniProt accession no. | Q96M69 |
| Shipping condition | Wet ice |
| Storage temperature | −20°C |
| Gene information | LRGUK(136332) |
🏷️Merck Sigma 상품 둘러보기
동일 브랜드의 다른 상품들을 확인해보세요

Merck Sigma
Merck Anti-QRSL1 antibody produced in rabbit
895,600원

Merck Sigma
Merck Anti-TKT antibody produced in rabbit
895,700원

Merck Sigma
Merck Anti-LRGUK antibody produced in rabbit
895,700원

Merck Sigma
Merck Anti-CYP2E1 antibody produced in rabbit
793,800원

Merck Sigma
Merck Anti-ZCCHC7 antibody produced in rabbit
895,700원
배송/결제/교환/반품 안내
배송 정보
| 기본 배송비 |
| 교환/반품 배송비 |
|
|---|---|---|---|
| 착불 배송비 |
| ||
| 교환/반품 배송비 |
| ||
결제 및 환불 안내
| 결제수단 |
|
|---|---|
| 취소 |
|
| 반품 |
|
| 환급 |
|
교환 및 반품 접수
| 교환 및 반품 접수 기한 |
|
|---|---|
| 교환 및 반품 접수가 가능한 경우 |
|
| 교환 및 반품 접수가 불가능한 경우 |
|
교환 및 반품 신청
| 교환 절차 |
|
|---|---|
| 반품 절차 |
|