
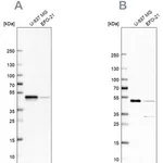
Merck Anti-COX5B antibody produced in rabbit
상품 한눈에 보기
Merck의 Anti-COX5B rabbit polyclonal antibody는 인간 COX5B 단백질을 인식하는 프라이머리 항체로, Prestige Antibodies® 라인 제품입니다. Affinity purified 형태이며, immunoblotting, immunofluorescence, immunohistochemistry에 적합합니다. −20°C에서 보관합니다.
브랜드: Merck Sigma
✨AI 추천 연관 상품
AI가 분석한 이 상품과 연관된 추천 상품들을 확인해보세요
연관 상품을 찾고 있습니다...
Anti-COX5B antibody produced in rabbit
제품 개요
Prestige Antibodies® Powered by Atlas Antibodies
Affinity isolated antibody, buffered aqueous glycerol solution
생물학적 정보
| 항목 | 내용 |
|---|---|
| 생물학적 소스 | Rabbit |
| 품질 등급 | 100 |
| 결합 | Unconjugated |
| 항체 형태 | Affinity isolated antibody |
| 항체 유형 | Primary antibodies |
| 클론 | Polyclonal |
| 제품 라인 | Prestige Antibodies® Powered by Atlas Antibodies |
| 형태 | Buffered aqueous glycerol solution |
| 반응 종 | Human |
| 포장 | Antibody small pack of 25 μL |
| 배송 상태 | Wet ice |
| 저장 온도 | −20°C |
향상된 검증
RNAi knockdown
자세한 내용은 Antibody Enhanced Validation 참고
적용 기술
| 기술 | 사용 농도 |
|---|---|
| Immunoblotting | 0.04–0.4 μg/mL |
| Immunofluorescence | 0.25–2 μg/mL |
| Immunohistochemistry | 1:500–1:1000 |
면역원 서열
ASGGGVPTDEEQATGLEREIMLAAKKGLDPYNVLAPKGASGTREDPNLVPSISNKRIVGCICEEDNTSVVWFWLHKGEAQRCPRCGAHYKLVP
UniProt 수납 번호
유전자 정보
Human COX5B(1329)
Cytochrome c oxidase subunit Vb recombinant protein epitope signature tag (PrEST)
🏷️Merck Sigma 상품 둘러보기
동일 브랜드의 다른 상품들을 확인해보세요

Merck Sigma
Merck Anti-RCC1 antibody produced in rabbit
817,800원

Merck Sigma
Merck Anti-PKP1 antibody produced in rabbit
895,700원

Merck Sigma
Merck Anti-COX5B antibody produced in rabbit
370,530원

Merck Sigma
Merck Anti-ZDHHC4 antibody produced in rabbit
370,530원

Merck Sigma
Merck Anti-GPATCH3 antibody produced in rabbit
370,530원
배송/결제/교환/반품 안내
배송 정보
| 기본 배송비 |
| 교환/반품 배송비 |
|
|---|---|---|---|
| 착불 배송비 |
| ||
| 교환/반품 배송비 |
| ||
결제 및 환불 안내
| 결제수단 |
|
|---|---|
| 취소 |
|
| 반품 |
|
| 환급 |
|
교환 및 반품 접수
| 교환 및 반품 접수 기한 |
|
|---|---|
| 교환 및 반품 접수가 가능한 경우 |
|
| 교환 및 반품 접수가 불가능한 경우 |
|
교환 및 반품 신청
| 교환 절차 |
|
|---|---|
| 반품 절차 |
|
문의 0
로그인 후 문의를 할 수 있습니다.