
Merck Anti-ABRACL antibody produced in rabbit
상품 한눈에 보기
Merck의 Anti-ABRACL 항체는 토끼에서 생산된 폴리클로날 항체로, 인간·마우스·랫트에 반응합니다. Prestige Antibodies® 라인 제품으로 buffered glycerol 용액 형태이며, 웨트 아이스로 배송되고 −20°C에 보관합니다. 면역블롯, 면역형광, 면역조직화학에 적합합니다.
브랜드: Merck Sigma
✨AI 추천 연관 상품
AI가 분석한 이 상품과 연관된 추천 상품들을 확인해보세요
연관 상품을 찾고 있습니다...
Anti-ABRACL antibody produced in rabbit
제품 개요
Prestige Antibodies® Powered by Atlas Antibodies
Affinity isolated antibody, buffered aqueous glycerol solution
생물학적 정보
- Source: Rabbit
- Clone: Polyclonal
- Antibody type: Primary antibodies
- Product line: Prestige Antibodies® Powered by Atlas Antibodies
- Form: Buffered aqueous glycerol solution
- Conjugation: Unconjugated
스펙 정보
| 항목 | 내용 |
|---|---|
| Species Reactivity | Human, Mouse, Rat |
| Packaging | Antibody small pack of 25 μL |
| Quality Level | 100 (M-Clarity Program) |
| Enhanced Validation | Orthogonal RNAseq |
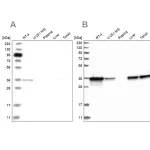
| Techniques | Immunoblotting: 0.04–0.4 μg/mL Immunofluorescence: 0.25–2 μg/mL Immunohistochemistry: 1:200–1:500 |
| Immunogen Sequence | NVDHEVNLLVEEIHRLGSKNADGKLSVKFGVLFRDDKCANLFEALVGTLKAAKRRKIVTYPGELLLQGVHDDVDIILLQD |
| Gene Information | Human C6orf115 (58527), UPF0727 protein C6orf115 recombinant protein epitope signature tag (PrEST) |
| Shipping Condition | Wet ice |
| Storage Temperature | −20°C |
참고 정보
Learn more about Antibody Enhanced Validation.
제품 이미지
(이미지 없음)
🏷️Merck Sigma 상품 둘러보기
동일 브랜드의 다른 상품들을 확인해보세요

Merck Sigma
Merck Anti-PDXK antibody produced in rabbit
895,700원

Merck Sigma
Merck Anti-INSL5 antibody produced in rabbit
370,530원

Merck Sigma
Merck Anti-ABRACL antibody produced in rabbit
895,700원

Merck Sigma
Merck Anti-ZNF710 antibody produced in rabbit
895,700원

Merck Sigma
Merck Anti-NUDT17 antibody produced in rabbit
370,530원
배송/결제/교환/반품 안내
배송 정보
| 기본 배송비 |
| 교환/반품 배송비 |
|
|---|---|---|---|
| 착불 배송비 |
| ||
| 교환/반품 배송비 |
| ||
결제 및 환불 안내
| 결제수단 |
|
|---|---|
| 취소 |
|
| 반품 |
|
| 환급 |
|
교환 및 반품 접수
| 교환 및 반품 접수 기한 |
|
|---|---|
| 교환 및 반품 접수가 가능한 경우 |
|
| 교환 및 반품 접수가 불가능한 경우 |
|
교환 및 반품 신청
| 교환 절차 |
|
|---|---|
| 반품 절차 |
|
문의 0
로그인 후 문의를 할 수 있습니다.