
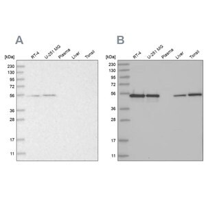
Merck Anti-RBM17 antibody produced in rabbit
상품 한눈에 보기
Merck의 Anti-RBM17 rabbit antibody는 Prestige Antibodies® 라인 제품으로, polyclonal 형식의 affinity isolated primary antibody입니다. Human, mouse, rat에 반응하며 immunoblotting과 immunohistochemistry에 최적화되어 있습니다. −20°C에서 보관하며 wet ice 상태로 배송됩니다.
브랜드: Merck Sigma
✨AI 추천 연관 상품
AI가 분석한 이 상품과 연관된 추천 상품들을 확인해보세요
연관 상품을 찾고 있습니다...
Anti-RBM17 antibody produced in rabbit
제품 개요
Prestige Antibodies® Powered by Atlas Antibodies 라인의 affinity isolated antibody로, buffered aqueous glycerol solution 형태로 제공됩니다.
생물학적 정보
- Source: Rabbit
- Clonality: Polyclonal
- Type: Primary antibody
- Conjugation: Unconjugated
- Form: Buffered aqueous glycerol solution
- Product Line: Prestige Antibodies® Powered by Atlas Antibodies
스펙 정보
| 항목 | 내용 |
|---|---|
| Species Reactivity | Mouse, Rat, Human |
| Enhanced Validation | Independent |
| Techniques | Immunoblotting: 0.04–0.4 μg/mL Immunohistochemistry: 1:50–1:200 |
| Immunogen Sequence | GLGKHEQGLSTALSVEKTSKRGGKIIVGDATEKDASKKSDSNPLTEILKCPTKVVLLRNMVGAGEVDEDLEVETKEECEKYGKVGKCVIFEIPGAPDDEAVRIF |
| UniProt Accession | Q96I25 |
| Gene Information | Human RBM17(84991) |
| Delivery Condition | Wet ice |
| Storage Temperature | −20°C |
| Quality Level | 100 |
추가 정보
RNA binding motif protein 17 recombinant protein epitope signature tag (PrEST)
참고
Antibody Enhanced Validation에 대한 자세한 내용은 Merck 기술 문서를 참조하십시오.
제품 이미지
(이미지 없음)
🏷️Merck Sigma 상품 둘러보기
동일 브랜드의 다른 상품들을 확인해보세요

Merck Sigma
Merck Anti-IMPA1 antibody produced in rabbit
895,700원

Merck Sigma
Merck Anti-CBR4 antibody produced in rabbit
895,700원

Merck Sigma
Merck Anti-RBM17 antibody produced in rabbit
895,700원

Merck Sigma
Merck Anti-RBP2 antibody produced in rabbit
370,530원

Merck Sigma
Merck Anti-RANBP3L antibody produced in rabbit
895,600원
배송/결제/교환/반품 안내
배송 정보
| 기본 배송비 |
| 교환/반품 배송비 |
|
|---|---|---|---|
| 착불 배송비 |
| ||
| 교환/반품 배송비 |
| ||
결제 및 환불 안내
| 결제수단 |
|
|---|---|
| 취소 |
|
| 반품 |
|
| 환급 |
|
교환 및 반품 접수
| 교환 및 반품 접수 기한 |
|
|---|---|
| 교환 및 반품 접수가 가능한 경우 |
|
| 교환 및 반품 접수가 불가능한 경우 |
|
교환 및 반품 신청
| 교환 절차 |
|
|---|---|
| 반품 절차 |
|
문의 0
로그인 후 문의를 할 수 있습니다.