
Merck Anti-TREH antibody produced in rabbit
상품 한눈에 보기
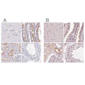
토끼에서 생산된 Anti-TREH polyclonal 항체로 인간 TREH 단백질에 반응합니다. Prestige Antibodies® 제품으로 높은 품질 등급(100)을 보유하며, 면역조직화학(IHC)에 적합합니다. −20°C에서 보관하며, 향상된 검증(orthogonal RNAseq)을 거친 신뢰성 높은 항체입니다.
브랜드: Merck Sigma
✨AI 추천 연관 상품
AI가 분석한 이 상품과 연관된 추천 상품들을 확인해보세요
연관 상품을 찾고 있습니다...
Anti-TREH antibody produced in rabbit
제품 개요
Prestige Antibodies® Powered by Atlas Antibodies
Affinity isolated primary antibody, buffered aqueous glycerol solution.
생물학적 정보
- 소스: Rabbit
- 클론: Polyclonal
- 결합: Unconjugated
- 항체 형태: Affinity isolated antibody
- 제품 라인: Prestige Antibodies® Powered by Atlas Antibodies
- Species Reactivity: Human
물리적 특성
| 항목 | 내용 |
|---|---|
| Form | Buffered aqueous glycerol solution |
| 포장 | 25 μL (small pack) |
| 배송 상태 | Wet ice |
| 저장 온도 | −20°C |
품질 및 검증
| 항목 | 내용 |
|---|---|
| Quality Level | 100 |
| Enhanced Validation | Independent, orthogonal RNAseq |
| 참고 링크 | Antibody Enhanced Validation |
사용 기술
- Immunohistochemistry (IHC): 1:2500–1:5000
면역원 서열
LYQDDKQFVDMPLSIAPEQVLQTFTELSRDHNHSIPREQLQAFVHEHFQAKGQELQPWTPADWKDSPQFLQKISDAKLRAWAGQLHQLWKKLGKK
유전자 정보
- Gene: TREH (Human, Gene ID 11181)
- 기능: Trehalase (brush-border membrane glycoprotein) recombinant protein epitope signature tag (PrEST)
- UniProt 번호: O43280
🏷️Merck Sigma 상품 둘러보기
동일 브랜드의 다른 상품들을 확인해보세요

Merck Sigma
Merck Anti-TCTN2 antibody produced in rabbit
895,700원

Merck Sigma
Merck Anti-BLOC1S6 antibody produced in rabbit
895,700원

Merck Sigma
Merck Anti-TREH antibody produced in rabbit
895,700원

Merck Sigma
Merck Anti-OLFML1 antibody produced in rabbit
895,700원

Merck Sigma
Merck Anti-GPR176 antibody produced in rabbit
895,700원
배송/결제/교환/반품 안내
배송 정보
| 기본 배송비 |
| 교환/반품 배송비 |
|
|---|---|---|---|
| 착불 배송비 |
| ||
| 교환/반품 배송비 |
| ||
결제 및 환불 안내
| 결제수단 |
|
|---|---|
| 취소 |
|
| 반품 |
|
| 환급 |
|
교환 및 반품 접수
| 교환 및 반품 접수 기한 |
|
|---|---|
| 교환 및 반품 접수가 가능한 경우 |
|
| 교환 및 반품 접수가 불가능한 경우 |
|
교환 및 반품 신청
| 교환 절차 |
|
|---|---|
| 반품 절차 |
|
문의 0
로그인 후 문의를 할 수 있습니다.