
Merck Anti-QARS antibody produced in rabbit
토끼에서 생산된 폴리클로날 Anti-QARS 항체로, Atlas Antibodies 기술 적용 Prestige Antibodies® 제품입니다. 인간, 마우스, 랫트 반응성을 가지며 western blot, IF, IHC 등에 사용 가능합니다. −20°C에서 보관하며 25 μL 소포장으로 제공됩니다.
✨AI 추천 연관 상품
AI가 분석한 이 상품과 연관된 추천 상품들을 확인해보세요
연관 상품을 찾고 있습니다...
Anti-QARS antibody produced in rabbit
제품 개요
Prestige Antibodies® Powered by Atlas Antibodies
Affinity isolated antibody, buffered aqueous glycerol solution
생물학적 소스
rabbit
품질 등급
100
결합 형태
unconjugated
항체 형태
affinity isolated antibody
항체 유형
primary antibodies
클론
polyclonal
제품 라인
Prestige Antibodies® Powered by Atlas Antibodies
제형
buffered aqueous glycerol solution
반응 종
rat, mouse, human
포장
antibody small pack of 25 μL
향상된 검증
Independent
자세한 내용은 Antibody Enhanced Validation 참고
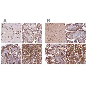
적용 기술
| Technique | 사용 농도 |
|---|---|
| Immunoblotting | 0.04–0.4 μg/mL |
| Immunofluorescence | 0.25–2 μg/mL |
| Immunohistochemistry | 1:50–1:200 |
면역원 서열
HTGYVIELQHVVKGPSGCVESLEVTCRRADAGEKPKAFIHWVSQPLMCEVRLYERLFQHKNPEDPTEVPGGFLSDLNLASLHVVDA
UniProt 수납 번호
배송 상태
wet ice
저장 온도
−20°C
유전자 정보
human QARS (5859)
Glutaminyl-tRNA synthetase recombinant protein epitope signature tag (PrEST)
🏷️Merck Sigma 상품 둘러보기
동일 브랜드의 다른 상품들을 확인해보세요

Merck Sigma
Merck Anti-TMEM139 antibody produced in rabbit
895,700원

Merck Sigma
Merck Anti-DNAJC18 antibody produced in rabbit
895,700원

Merck Sigma
Merck Anti-QARS antibody produced in rabbit
895,700원

Merck Sigma
Merck Anti-NCAPD2 antibody produced in rabbit
895,700원

Merck Sigma
Merck Anti-SRGAP3 antibody produced in rabbit
895,700원
배송/결제/교환/반품 안내
배송 정보
| 기본 배송비 |
| 교환/반품 배송비 |
|
|---|---|---|---|
| 착불 배송비 |
| ||
| 교환/반품 배송비 |
| ||
결제 및 환불 안내
| 결제수단 |
|
|---|---|
| 취소 |
|
| 반품 |
|
| 환급 |
|
교환 및 반품 접수
| 교환 및 반품 접수 기한 |
|
|---|---|
| 교환 및 반품 접수가 가능한 경우 |
|
| 교환 및 반품 접수가 불가능한 경우 |
|
교환 및 반품 신청
| 교환 절차 |
|
|---|---|
| 반품 절차 |
|