
Merck Anti-C19orf48 antibody produced in rabbit
상품 한눈에 보기
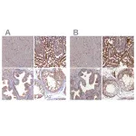
Merck의 Anti-C19orf48 rabbit polyclonal antibody는 인간 단백질을 인식하는 프라이머리 항체로, Prestige Antibodies® 라인 제품입니다. Affinity isolated 형태이며 immunoblotting 및 immunohistochemistry에 적합합니다. −20°C 보관, wet ice 배송.
브랜드: Merck Sigma
✨AI 추천 연관 상품
AI가 분석한 이 상품과 연관된 추천 상품들을 확인해보세요
연관 상품을 찾고 있습니다...
Anti-C19orf48 antibody produced in rabbit
제품 개요
Prestige Antibodies® Powered by Atlas Antibodies, affinity isolated antibody, buffered aqueous glycerol solution
생물학적 소스
rabbit
제품 사양
| 항목 | 내용 |
|---|---|
| Quality Level | 100 |
| 결합 | unconjugated |
| 항체 형태 | affinity isolated antibody |
| 항체 유형 | primary antibodies |
| 클론 | polyclonal |
| 제품 라인 | Prestige Antibodies® Powered by Atlas Antibodies |
| 형태 | buffered aqueous glycerol solution |
| species reactivity | human |
| 포장 | antibody small pack of 25 μL |
| 향상된 검증 | recombinant expression |
| technique(s) | immunoblotting: 0.04–0.4 μg/mL immunohistochemistry: 1:20–1:50 |
| 면역원 서열 | MTVLEAVLEIQAITGSRLLSMVPGPARPPGSCWDPTQCTRTWLLSHTPRRRWISGLPR |
| UniProt 수납 번호 | Q6RUI8 |
| 배송 상태 | wet ice |
| 저장 온도 | −20°C |
| Gene Information | human C19orf48(84798) chromosome 19 open reading frame 48 recombinant protein epitope signature tag (PrEST) |
참고 정보
Learn more about Antibody Enhanced Validation
🏷️Merck Sigma 상품 둘러보기
동일 브랜드의 다른 상품들을 확인해보세요

Merck Sigma
Merck Anti-TMC5 antibody produced in rabbit
895,700원

Merck Sigma
Merck Anti-EIF3G antibody produced in rabbit
895,700원

Merck Sigma
Merck Anti-C19orf48 antibody produced in rabbit
895,700원

Merck Sigma
Merck Anti-PTPN9 antibody produced in rabbit
370,530원

Merck Sigma
Merck Anti-IMPACT antibody produced in rabbit
895,700원
배송/결제/교환/반품 안내
배송 정보
| 기본 배송비 |
| 교환/반품 배송비 |
|
|---|---|---|---|
| 착불 배송비 |
| ||
| 교환/반품 배송비 |
| ||
결제 및 환불 안내
| 결제수단 |
|
|---|---|
| 취소 |
|
| 반품 |
|
| 환급 |
|
교환 및 반품 접수
| 교환 및 반품 접수 기한 |
|
|---|---|
| 교환 및 반품 접수가 가능한 경우 |
|
| 교환 및 반품 접수가 불가능한 경우 |
|
교환 및 반품 신청
| 교환 절차 |
|
|---|---|
| 반품 절차 |
|
문의 0
로그인 후 문의를 할 수 있습니다.