
Merck Anti-IGFALS antibody produced in rabbit
상품 한눈에 보기
토끼에서 생산된 Anti-IGFALS 항체로, 인간 IGFALS 단백질을 인식하는 polyclonal 1차 항체입니다. Prestige Antibodies® 제품군으로 높은 특이성과 재현성을 제공합니다. 면역형광, 면역블롯, 면역조직화학 등에 적합하며 −20°C에서 보관합니다.
브랜드: Merck Sigma
✨AI 추천 연관 상품
AI가 분석한 이 상품과 연관된 추천 상품들을 확인해보세요
연관 상품을 찾고 있습니다...
Anti-IGFALS antibody produced in rabbit
Prestige Antibodies® Powered by Atlas Antibodies, affinity isolated antibody, buffered aqueous glycerol solution
제품 개요
토끼에서 생산된 polyclonal 항체로, 인간 IGFALS 단백질을 특이적으로 인식합니다. 다양한 면역학적 분석에 사용 가능한 1차 항체입니다.
제품 사양
| 항목 | 내용 |
|---|---|
| Biological source | Rabbit |
| Quality level | 100 |
| Conjugate | Unconjugated |
| Antibody form | Affinity isolated antibody |
| Antibody type | Primary antibodies |
| Clone | Polyclonal |
| Product line | Prestige Antibodies® Powered by Atlas Antibodies |
| Form | Buffered aqueous glycerol solution |
| Species reactivity | Human |
| Packaging | Antibody small pack of 25 μL |
| Enhanced validation | Orthogonal RNAseq (independent validation) |
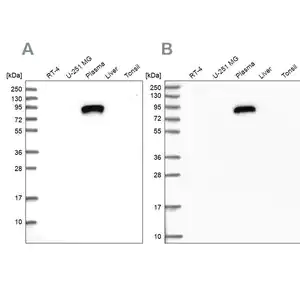
| Techniques | Immunoblotting: 0.04–0.4 μg/mL Immunofluorescence: 0.25–2 μg/mL Immunohistochemistry: 1:50–1:200 |
| Immunogen sequence | DCGCPLKALRDFALQNPSAVPRFVQAICEGDDCQPPAYTYNNITCASPPEVVGLDLRDLSEAHFAP |
| UniProt accession no. | P35858 |
| Shipping conditions | Wet ice |
| Storage temperature | −20 °C |
| Gene information | Human IGFALS (Gene ID: 3483) — insulin-like growth factor binding protein, acid labile subunit recombinant protein epitope signature tag (PrEST) |
참고
자세한 검증 정보는 Antibody Enhanced Validation 페이지를 참조하세요.
🏷️Merck Sigma 상품 둘러보기
동일 브랜드의 다른 상품들을 확인해보세요

Merck Sigma
Merck Anti-TGDS antibody produced in rabbit
895,700원

Merck Sigma
Merck Anti-PMM2 antibody produced in rabbit
370,530원

Merck Sigma
Merck Anti-IGFALS antibody produced in rabbit
370,530원

Merck Sigma
Merck Anti-VPS18 antibody produced in rabbit
370,530원

Merck Sigma
Merck Anti-ARL11 antibody produced in rabbit
895,700원
배송/결제/교환/반품 안내
배송 정보
| 기본 배송비 |
| 교환/반품 배송비 |
|
|---|---|---|---|
| 착불 배송비 |
| ||
| 교환/반품 배송비 |
| ||
결제 및 환불 안내
| 결제수단 |
|
|---|---|
| 취소 |
|
| 반품 |
|
| 환급 |
|
교환 및 반품 접수
| 교환 및 반품 접수 기한 |
|
|---|---|
| 교환 및 반품 접수가 가능한 경우 |
|
| 교환 및 반품 접수가 불가능한 경우 |
|
교환 및 반품 신청
| 교환 절차 |
|
|---|---|
| 반품 절차 |
|
문의 0
로그인 후 문의를 할 수 있습니다.