
Merck Anti-ERP27 antibody produced in rabbit
상품 한눈에 보기
토끼에서 생산된 Anti-ERP27 항체로, 인간 ERP27 단백질에 특이적입니다. Prestige Antibodies® 제품군으로 높은 품질과 재현성을 보장합니다. Western blot 및 IHC에 적합하며, −20°C에서 보관합니다.
브랜드: Merck Sigma
✨AI 추천 연관 상품
AI가 분석한 이 상품과 연관된 추천 상품들을 확인해보세요
연관 상품을 찾고 있습니다...
Anti-ERP27 antibody produced in rabbit
제품 개요
Prestige Antibodies® Powered by Atlas Antibodies 제품으로, 토끼에서 생산된 ERP27 단백질에 대한 친화 정제 항체입니다. Buffered aqueous glycerol 용액 형태로 제공됩니다.
제품 사양
| 항목 | 내용 |
|---|---|
| 생물학적 소스 | Rabbit |
| Quality Level | 100 |
| 결합 | Unconjugated |
| 항체 형태 | Affinity isolated antibody |
| Antibody product type | Primary antibody |
| 클론 | Polyclonal |
| 제품 라인 | Prestige Antibodies® Powered by Atlas Antibodies |
| 형태(Form) | Buffered aqueous glycerol solution |
| Species reactivity | Human |
| 포장 단위 | 25 μL (small pack) |
| 면역원 서열 | ILVDSGMKENGKVISFFKLKESQLPALAIYQTLDDEWDTLPTAEVSVEHVQNFCDGFLSGKLLKENRESEGKTPKV |
| UniProt 수납 번호 | Q96DN0 |
| 배송 상태 | Wet ice |
| 저장 온도 | −20°C |
| Gene Information | Human ERP27 (Gene ID: 121506) |
| Epitope 정보 | Endoplasmic reticulum protein 27 recombinant protein epitope signature tag (PrEST) |
검증 및 적용 기술
향상된 검증 (Enhanced Validation):
- Independent
- Orthogonal RNAseq
- Recombinant expression
자세한 내용은 Antibody Enhanced Validation 페이지를 참고하세요.
적용 기술 (Technique):
- Immunoblotting: 0.04–0.4 μg/mL
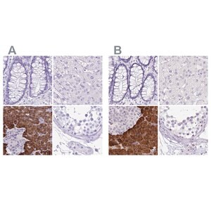
- Immunohistochemistry: 1:2500–1:5000
🏷️Merck Sigma 상품 둘러보기
동일 브랜드의 다른 상품들을 확인해보세요

Merck Sigma
Merck Anti-MFSD5 antibody produced in rabbit
895,700원

Merck Sigma
Merck Anti-AKAP3 antibody produced in rabbit
895,700원

Merck Sigma
Merck Anti-ERP27 antibody produced in rabbit
370,530원

Merck Sigma
Merck Anti-CSTF3 antibody produced in rabbit
895,700원

Merck Sigma
Merck Anti-SCEL antibody produced in rabbit
895,700원
배송/결제/교환/반품 안내
배송 정보
| 기본 배송비 |
| 교환/반품 배송비 |
|
|---|---|---|---|
| 착불 배송비 |
| ||
| 교환/반품 배송비 |
| ||
결제 및 환불 안내
| 결제수단 |
|
|---|---|
| 취소 |
|
| 반품 |
|
| 환급 |
|
교환 및 반품 접수
| 교환 및 반품 접수 기한 |
|
|---|---|
| 교환 및 반품 접수가 가능한 경우 |
|
| 교환 및 반품 접수가 불가능한 경우 |
|
교환 및 반품 신청
| 교환 절차 |
|
|---|---|
| 반품 절차 |
|
문의 0
로그인 후 문의를 할 수 있습니다.