
Merck Anti-DDX1 antibody produced in rabbit
상품 한눈에 보기
토끼에서 생산된 Anti-DDX1 항체로, 인간, 랫, 마우스에 반응합니다. Prestige Antibodies® 라인 제품으로 친화 정제된 1차 항체입니다. Western blot, IF, IHC 등 다양한 면역 분석에 사용 가능합니다. −20°C에서 보관하며, 25 μL 소포장으로 제공됩니다.
브랜드: Merck Sigma
✨AI 추천 연관 상품
AI가 분석한 이 상품과 연관된 추천 상품들을 확인해보세요
연관 상품을 찾고 있습니다...
Anti-DDX1 antibody produced in rabbit
Prestige Antibodies® Powered by Atlas Antibodies
Affinity isolated antibody, buffered aqueous glycerol solution
제품 정보
| 항목 | 내용 |
|---|---|
| 생물학적 소스 | Rabbit |
| Quality Level | 100 |
| 결합 형태 | Unconjugated |
| 항체 형태 | Affinity isolated antibody |
| 항체 유형 | Primary antibody |
| 클론 | Polyclonal |
| 제품 라인 | Prestige Antibodies® Powered by Atlas Antibodies |
| 형태 | Buffered aqueous glycerol solution |
| Species Reactivity | Human, Rat, Mouse |
| 포장 단위 | Antibody small pack of 25 μL |
| 향상된 검증 | Independent (Antibody Enhanced Validation) |
| 적용 기술(technique) | Immunoblotting: 0.04–0.4 μg/mL Immunofluorescence: 0.25–2 μg/mL Immunohistochemistry: 1:50–1:200 |
| 면역원 서열 | LGKSHIRTDDVHAKDNTRPGANSPEMWSEAIKILKGEYAVRAIKEHKMDQAIIFCRTKIDCDNLEQYFIQQGGGPDKKGHQFSCVCLHGD |
| UniProt 수납 번호 | Q92499 |
| 배송 상태 | Wet ice |
| 저장 온도 | −20 °C |
| Gene Information | Human DDX1(1653) DEAD (Asp-Glu-Ala-Asp) box polypeptide 1 recombinant protein epitope signature tag (PrEST) |
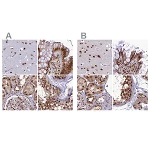
제품 이미지
(이미지 없음)
🏷️Merck Sigma 상품 둘러보기
동일 브랜드의 다른 상품들을 확인해보세요

Merck Sigma
Merck Anti-DYDC1 antibody produced in rabbit
895,700원

Merck Sigma
Merck Anti-SLC1A3 antibody produced in rabbit
817,800원

Merck Sigma
Merck Anti-DDX1 antibody produced in rabbit
895,700원

Merck Sigma
Merck Anti-RGS17 antibody produced in rabbit
895,700원

Merck Sigma
Merck Anti-ALMS1 antibody produced in rabbit
895,700원
배송/결제/교환/반품 안내
배송 정보
| 기본 배송비 |
| 교환/반품 배송비 |
|
|---|---|---|---|
| 착불 배송비 |
| ||
| 교환/반품 배송비 |
| ||
결제 및 환불 안내
| 결제수단 |
|
|---|---|
| 취소 |
|
| 반품 |
|
| 환급 |
|
교환 및 반품 접수
| 교환 및 반품 접수 기한 |
|
|---|---|
| 교환 및 반품 접수가 가능한 경우 |
|
| 교환 및 반품 접수가 불가능한 경우 |
|
교환 및 반품 신청
| 교환 절차 |
|
|---|---|
| 반품 절차 |
|
문의 0
로그인 후 문의를 할 수 있습니다.