
Merck Anti-GRWD1 antibody produced in rabbit
상품 한눈에 보기
토끼에서 생산된 Anti-GRWD1 항체로, 인간 GRWD1 단백질을 인식하는 polyclonal 1차 항체입니다. Prestige Antibodies® 라인으로 향상된 검증을 거쳤으며, Western blot, IF, IHC 등 다양한 실험에 적합합니다. −20°C에서 보관합니다.
브랜드: Merck Sigma
✨AI 추천 연관 상품
AI가 분석한 이 상품과 연관된 추천 상품들을 확인해보세요
연관 상품을 찾고 있습니다...
Anti-GRWD1 antibody produced in rabbit
Prestige Antibodies® Powered by Atlas Antibodies
Affinity isolated antibody, buffered aqueous glycerol solution.
제품 개요
토끼에서 생산된 polyclonal 항체로, 인간 GRWD1 단백질을 인식합니다.
Prestige Antibodies® 라인으로 독립적인 향상 검증(Enhanced Validation)을 거쳤습니다.
제품 사양
| 항목 | 내용 |
|---|---|
| Biological source | Rabbit |
| Quality level | 100 |
| Conjugate | Unconjugated |
| Antibody form | Affinity isolated antibody |
| Antibody type | Primary antibody |
| Clone | Polyclonal |
| Product line | Prestige Antibodies® Powered by Atlas Antibodies |
| Form | Buffered aqueous glycerol solution |
| Species reactivity | Human |
| Packaging | 25 μL small pack |
| Enhanced validation | Independent (Antibody Enhanced Validation) |
| Techniques | Immunoblotting (0.04–0.4 μg/mL), Immunofluorescence (0.25–2 μg/mL), Immunohistochemistry (1:200–1:500) |
| Immunogen sequence | PVTSVEWHPQDSGVFAASGADHQITQWDLAVERDPEAGDVEADPGLADLPQQLLFVHQGETELKELHWHPQCPGLLVSTALSGFTIFRTISV |
| UniProt accession no. | Q9BQ67 |
| Shipping conditions | Wet ice |
| Storage temperature | −20°C |
| Gene information | Human GRWD1 (83743) |
| Protein description | Glutamate-rich WD repeat containing 1 recombinant protein epitope signature tag (PrEST) |
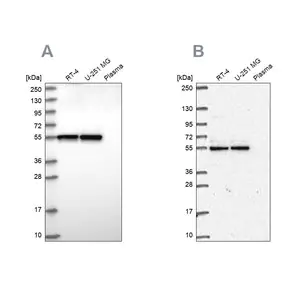
제품 이미지
(이미지 없음)
🏷️Merck Sigma 상품 둘러보기
동일 브랜드의 다른 상품들을 확인해보세요

Merck Sigma
Merck Anti-FAM53C antibody produced in rabbit
895,700원

Merck Sigma
Merck Anti-RPIA antibody produced in rabbit
370,530원

Merck Sigma
Merck Anti-GRWD1 antibody produced in rabbit
370,530원

Merck Sigma
Merck Anti-TTLL10 antibody produced in rabbit
895,700원

Merck Sigma
Merck Anti-LYPD6 antibody produced in rabbit
887,370원
배송/결제/교환/반품 안내
배송 정보
| 기본 배송비 |
| 교환/반품 배송비 |
|
|---|---|---|---|
| 착불 배송비 |
| ||
| 교환/반품 배송비 |
| ||
결제 및 환불 안내
| 결제수단 |
|
|---|---|
| 취소 |
|
| 반품 |
|
| 환급 |
|
교환 및 반품 접수
| 교환 및 반품 접수 기한 |
|
|---|---|
| 교환 및 반품 접수가 가능한 경우 |
|
| 교환 및 반품 접수가 불가능한 경우 |
|
교환 및 반품 신청
| 교환 절차 |
|
|---|---|
| 반품 절차 |
|
문의 0
로그인 후 문의를 할 수 있습니다.