
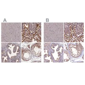
Merck Anti-TMC5 antibody produced in rabbit
상품 한눈에 보기
토끼에서 생산된 Anti-TMC5 항체로, 인체 TMC5 단백질을 검출하는 polyclonal 1차 항체입니다. Prestige Antibodies® 라인 제품으로, IHC에 적합하며 −20°C에서 보관합니다. Affinity isolated 형태의 glycerol 용액으로 제공됩니다.
브랜드: Merck Sigma
✨AI 추천 연관 상품
AI가 분석한 이 상품과 연관된 추천 상품들을 확인해보세요
연관 상품을 찾고 있습니다...
Anti-TMC5 antibody produced in rabbit
제품 개요
Prestige Antibodies® Powered by Atlas Antibodies
Affinity isolated antibody, buffered aqueous glycerol solution 형태의 polyclonal 항체입니다.
인체 TMC5 단백질을 검출하기 위한 1차 항체로, 독립적인 향상 검증(Antibody Enhanced Validation)을 거쳤습니다.
제품 정보
| 항목 | 내용 |
|---|---|
| 생물학적 소스 | Rabbit |
| Quality Level | 100 |
| 결합 형태 | Unconjugated |
| 항체 형태 | Affinity isolated antibody |
| 항체 유형 | Primary antibody |
| 클론 | Polyclonal |
| 제품 라인 | Prestige Antibodies® Powered by Atlas Antibodies |
| 형태(Form) | Buffered aqueous glycerol solution |
| Species Reactivity | Human |
| 포장 단위 | 25 μL (small pack) |
| 향상된 검증 | Independent (Antibody Enhanced Validation) |
| 적용 기술 | Immunohistochemistry (IHC): 1:200–1:500 |
| 면역원 서열 | TEGRKIMIRLLHEQIINEGKDKMFLIEKLIKLQDMEKKANPSSLVLERREVEQQGFLHLGEHDGSLDLRSRRSVQEGNPR |
| UniProt 번호 | Q6UXY8 |
| 배송 상태 | Wet ice |
| 저장 온도 | −20°C |
유전자 정보
Gene: TMC5 (Transmembrane channel like 5)
Gene ID: TMC5(79838)
염색체 위치: Human chromosome 16p12.3
TMC5 유전자는 인체의 태반, 고환, 전립선에서 발현되는 단백질을 암호화합니다.
🏷️Merck Sigma 상품 둘러보기
동일 브랜드의 다른 상품들을 확인해보세요

Merck Sigma
Merck Anti-AARS antibody produced in rabbit
895,700원

Merck Sigma
Merck Anti-USP22 antibody produced in rabbit
370,530원

Merck Sigma
Merck Anti-TMC5 antibody produced in rabbit
895,700원

Merck Sigma
Merck Anti-ZC3H18 antibody produced in rabbit
817,800원

Merck Sigma
Merck Anti-TLCD1 antibody produced in rabbit
370,530원
배송/결제/교환/반품 안내
배송 정보
| 기본 배송비 |
| 교환/반품 배송비 |
|
|---|---|---|---|
| 착불 배송비 |
| ||
| 교환/반품 배송비 |
| ||
결제 및 환불 안내
| 결제수단 |
|
|---|---|
| 취소 |
|
| 반품 |
|
| 환급 |
|
교환 및 반품 접수
| 교환 및 반품 접수 기한 |
|
|---|---|
| 교환 및 반품 접수가 가능한 경우 |
|
| 교환 및 반품 접수가 불가능한 경우 |
|
교환 및 반품 신청
| 교환 절차 |
|
|---|---|
| 반품 절차 |
|
문의 0
로그인 후 문의를 할 수 있습니다.