
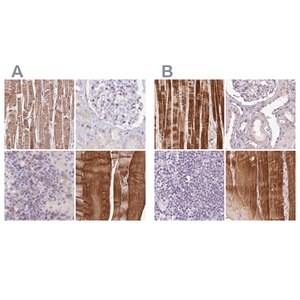
Merck Anti-FAM168B antibody produced in rabbit
상품 한눈에 보기
토끼에서 생성된 Anti-FAM168B 항체로, 인간 단백질에 반응하는 polyclonal 1차 항체입니다. Prestige Antibodies® 제품으로 면역조직화학(IHC)에 적합하며, 친화 정제된 글리세롤 완충 용액 형태로 제공됩니다. -20°C에서 보관합니다.
브랜드: Merck Sigma
✨AI 추천 연관 상품
AI가 분석한 이 상품과 연관된 추천 상품들을 확인해보세요
연관 상품을 찾고 있습니다...
Anti-FAM168B antibody produced in rabbit
제품 개요
Prestige Antibodies® Powered by Atlas Antibodies의 친화 정제 항체로, 글리세롤 완충 수용액 형태로 제공됩니다.
인간 FAM168B 단백질에 특이적으로 반응하는 polyclonal 1차 항체입니다.
제품 사양
| 항목 | 내용 |
|---|---|
| Biological source | Rabbit |
| Quality level | 100 |
| Conjugate | Unconjugated |
| Antibody type | Primary antibody |
| Clonality | Polyclonal |
| Product line | Prestige Antibodies® Powered by Atlas Antibodies |
| Form | Buffered aqueous glycerol solution |
| Species reactivity | Human |
| Packaging | 25 μL (small pack) |
| Enhanced validation | Independent (Antibody Enhanced Validation) |
| Application (technique) | Immunohistochemistry (IHC): 1:50–1:200 |
| Immunogen sequence | MNPVYSPGSSGVPYANAKGIGYPAGFPMGYAAAAPAYSPNMYPGANPTFQTGYTPGTPYKVSCSPTSGAVPPYSSSP |
| UniProt accession no. | A1KXE4 |
| Shipping conditions | Wet ice |
| Storage temperature | −20 °C |
| Gene information | Human FAM168B (130074) — family with sequence similarity 168, member B recombinant protein epitope signature tag (PrEST) |
추가 정보
Learn more about Antibody Enhanced Validation
🏷️Merck Sigma 상품 둘러보기
동일 브랜드의 다른 상품들을 확인해보세요

Merck Sigma
Merck Anti-VSTM2L antibody produced in rabbit
895,700원

Merck Sigma
Merck Anti-PADI3 antibody produced in rabbit
895,600원

Merck Sigma
Merck Anti-FAM168B antibody produced in rabbit
895,700원

Merck Sigma
Merck Anti-NT5M antibody produced in rabbit
895,700원

Merck Sigma
Merck Anti-DCAF8L1 antibody produced in rabbit
895,700원
배송/결제/교환/반품 안내
배송 정보
| 기본 배송비 |
| 교환/반품 배송비 |
|
|---|---|---|---|
| 착불 배송비 |
| ||
| 교환/반품 배송비 |
| ||
결제 및 환불 안내
| 결제수단 |
|
|---|---|
| 취소 |
|
| 반품 |
|
| 환급 |
|
교환 및 반품 접수
| 교환 및 반품 접수 기한 |
|
|---|---|
| 교환 및 반품 접수가 가능한 경우 |
|
| 교환 및 반품 접수가 불가능한 경우 |
|
교환 및 반품 신청
| 교환 절차 |
|
|---|---|
| 반품 절차 |
|
문의 0
로그인 후 문의를 할 수 있습니다.