
Merck Anti-HNRNPUL1 antibody produced in rabbit
✨AI 추천 연관 상품
AI가 분석한 이 상품과 연관된 추천 상품들을 확인해보세요
연관 상품을 찾고 있습니다...
Anti-HNRNPUL1 antibody produced in rabbit
Prestige Antibodies® Powered by Atlas Antibodies, affinity isolated antibody, buffered aqueous glycerol solution
생물학적 소스
rabbit
Quality Level
결합
unconjugated
항체 형태
affinity isolated antibody
antibody product type
primary antibodies
클론
polyclonal
제품 라인
Prestige Antibodies® Powered by Atlas Antibodies
form
buffered aqueous glycerol solution
species reactivity
human
포장
antibody small pack of 25 μL
향상된 검증
independent
Learn more about Antibody Enhanced Validation
technique(s)
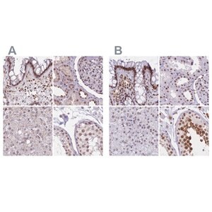
immunofluorescence: 0.25-2 μg/mL
immunohistochemistry: 1:20-1:50
면역원 서열
PTAQTYPQPSYNQYQQYAQQWNQYYQNQGQWPPYYGNYDYGSYSGNTQGGTSTQ
UniProt 수납 번호
배송 상태
wet ice
저장 온도
−20°C
Gene Information
human ... HNRNPUL1(11100)
heterogeneous nuclear ribonucleoprotein U-like 1 recombinant protein epitope signature tag (PrEST)
🏷️Merck Sigma 상품 둘러보기
동일 브랜드의 다른 상품들을 확인해보세요

Merck Sigma
Merck Anti-DNM1 antibody produced in rabbit
370,530원

Merck Sigma
Merck Anti-SF3B1 antibody produced in rabbit
370,530원

Merck Sigma
Merck Anti-HNRNPUL1 antibody produced in rabbit
370,530원

Merck Sigma
Merck Anti-LRRN4CL antibody produced in rabbit
370,530원

Merck Sigma
Merck Anti-ADCYAP1R1 antibody produced in rabbit
887,370원
배송/결제/교환/반품 안내
배송 정보
| 기본 배송비 |
| 교환/반품 배송비 |
|
|---|---|---|---|
| 착불 배송비 |
| ||
| 교환/반품 배송비 |
| ||
결제 및 환불 안내
| 결제수단 |
|
|---|---|
| 취소 |
|
| 반품 |
|
| 환급 |
|
교환 및 반품 접수
| 교환 및 반품 접수 기한 |
|
|---|---|
| 교환 및 반품 접수가 가능한 경우 |
|
| 교환 및 반품 접수가 불가능한 경우 |
|
교환 및 반품 신청
| 교환 절차 |
|
|---|---|
| 반품 절차 |
|
문의 0
로그인 후 문의를 할 수 있습니다.
