
Merck Anti-ACSBG1 antibody produced in rabbit
상품 한눈에 보기
토끼에서 생산된 Anti-ACSBG1 항체로, 인간 ACSBG1 단백질을 인식하는 polyclonal 1차 항체입니다. Prestige Antibodies® 라인 제품으로 면역조직화학(IHC) 및 웨스턴 블롯(WB)에 적합하며, 독립적 향상 검증을 거친 고품질 항체입니다.
브랜드: Merck Sigma
✨AI 추천 연관 상품
AI가 분석한 이 상품과 연관된 추천 상품들을 확인해보세요
연관 상품을 찾고 있습니다...
Anti-ACSBG1 antibody produced in rabbit
Prestige Antibodies® Powered by Atlas Antibodies
Affinity isolated antibody, buffered aqueous glycerol solution
제품 개요
토끼에서 생산된 polyclonal 항체로, 인간 ACSBG1(acyl-CoA synthetase bubblegum family member 1)을 인식합니다.
Prestige Antibodies® Powered by Atlas Antibodies 라인 제품으로, 독립적 향상 검증(Antibody Enhanced Validation)을 거쳤습니다.
제품 사양
| 항목 | 내용 |
|---|---|
| Biological Source | Rabbit |
| Quality Level | 100 |
| Conjugate | Unconjugated |
| Antibody Type | Primary antibody |
| Clone Type | Polyclonal |
| Product Line | Prestige Antibodies® Powered by Atlas Antibodies |
| Form | Buffered aqueous glycerol solution |
| Species Reactivity | Human |
| Packaging | 25 μL (small pack) |
| Enhanced Validation | Independent validation |
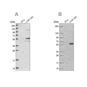
| Technique(s) | Immunohistochemistry (1:200–1:500), Western blot (0.04–0.4 μg/mL) |
| Immunogen Sequence | ANVIMVDTQKQLEKILKIWKQLPHLKAVVIYKEPPPNKMANVYTMEEFMELGNEVPEEALDAIIDTQQPNQCCVLV |
| UniProt Accession No. | Q96GR2 |
| Shipping Conditions | Wet ice |
| Storage Temperature | −20°C |
| Gene Information | Human ACSBG1(23205) – Acyl-CoA synthetase bubblegum family member 1 |
참고 정보
- Learn more about Antibody Enhanced Validation
🏷️Merck Sigma 상품 둘러보기
동일 브랜드의 다른 상품들을 확인해보세요

Merck Sigma
Merck Anti-PLD1 antibody produced in rabbit
817,800원

Merck Sigma
Merck Anti-HOMER3 antibody produced in rabbit
370,530원

Merck Sigma
Merck Anti-ACSBG1 antibody produced in rabbit
895,700원

Merck Sigma
Merck Anti-UBA2 antibody produced in rabbit
895,700원

Merck Sigma
Merck Anti-ATP5O antibody produced in rabbit
817,800원
배송/결제/교환/반품 안내
배송 정보
| 기본 배송비 |
| 교환/반품 배송비 |
|
|---|---|---|---|
| 착불 배송비 |
| ||
| 교환/반품 배송비 |
| ||
결제 및 환불 안내
| 결제수단 |
|
|---|---|
| 취소 |
|
| 반품 |
|
| 환급 |
|
교환 및 반품 접수
| 교환 및 반품 접수 기한 |
|
|---|---|
| 교환 및 반품 접수가 가능한 경우 |
|
| 교환 및 반품 접수가 불가능한 경우 |
|
교환 및 반품 신청
| 교환 절차 |
|
|---|---|
| 반품 절차 |
|
문의 0
로그인 후 문의를 할 수 있습니다.