
Merck Anti-C1orf56 antibody produced in rabbit
상품 한눈에 보기
Merck의 Anti-C1orf56 rabbit polyclonal antibody로, 인간 C1orf56 단백질 검출용. Prestige Antibodies® 라인 제품으로 향상된 검증 수행. Immunoblotting 및 Immunohistochemistry에 최적. −20°C 보관, 25μL 소포장 제공.
브랜드: Merck Sigma
✨AI 추천 연관 상품
AI가 분석한 이 상품과 연관된 추천 상품들을 확인해보세요
연관 상품을 찾고 있습니다...
Anti-C1orf56 Antibody Produced in Rabbit
제품 개요
Prestige Antibodies® Powered by Atlas Antibodies
Affinity isolated antibody, buffered aqueous glycerol solution
생물학적 정보
- Source: Rabbit
- Clone: Polyclonal
- Conjugation: Unconjugated
- Antibody Type: Primary antibody
- Form: Buffered aqueous glycerol solution
- Species Reactivity: Human
제품 라인
Prestige Antibodies® Powered by Atlas Antibodies
포장 및 저장
- Packaging: Antibody small pack of 25 μL
- Shipping Condition: Wet ice
- Storage Temperature: −20°C
향상된 검증 (Enhanced Validation)
- Independent
- Recombinant expression
- Orthogonal RNAseq
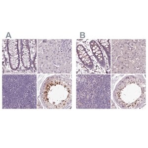
적용 기술 (Applications)
| Technique | Recommended Concentration |
|---|---|
| Immunoblotting | 0.04–0.4 μg/mL |
| Immunohistochemistry | 1:200–1:500 |
면역원 서열 (Immunogen Sequence)
HKPCTYQQCPCNRLREECPLDTSLCTDTNCASQSTTSTRTTTTPFPTIHLRSSPSLPPASPCPALAFWKRVRIG유전자 정보 (Gene Information)
- Human: C1orf56 (Gene ID: 54964)
- Description: Chromosome 1 open reading frame 56
🏷️Merck Sigma 상품 둘러보기
동일 브랜드의 다른 상품들을 확인해보세요

Merck Sigma
Merck Anti-LSG1 antibody produced in rabbit
895,700원

Merck Sigma
Merck Anti-RBM20 antibody produced in rabbit
817,800원

Merck Sigma
Merck Anti-C1orf56 antibody produced in rabbit
895,700원

Merck Sigma
Merck Anti-BCAT2 antibody produced in rabbit
370,530원

Merck Sigma
Merck Anti-GSTO1 antibody produced in rabbit
817,800원
배송/결제/교환/반품 안내
배송 정보
| 기본 배송비 |
| 교환/반품 배송비 |
|
|---|---|---|---|
| 착불 배송비 |
| ||
| 교환/반품 배송비 |
| ||
결제 및 환불 안내
| 결제수단 |
|
|---|---|
| 취소 |
|
| 반품 |
|
| 환급 |
|
교환 및 반품 접수
| 교환 및 반품 접수 기한 |
|
|---|---|
| 교환 및 반품 접수가 가능한 경우 |
|
| 교환 및 반품 접수가 불가능한 경우 |
|
교환 및 반품 신청
| 교환 절차 |
|
|---|---|
| 반품 절차 |
|
문의 0
로그인 후 문의를 할 수 있습니다.