
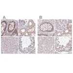
Merck Anti-SGTB antibody produced in rabbit
상품 한눈에 보기
토끼에서 생산된 Anti-SGTB 항체로, 인간 SGTB 단백질을 인식하는 폴리클로날 1차 항체입니다. Prestige Antibodies® 라인 제품으로, 친화 정제된 글리세롤 완충 용액 형태이며, Western blot과 IHC에 적합합니다. −20°C에서 보관합니다.
브랜드: Merck Sigma
✨AI 추천 연관 상품
AI가 분석한 이 상품과 연관된 추천 상품들을 확인해보세요
연관 상품을 찾고 있습니다...
Anti-SGTB antibody produced in rabbit
제품 개요
Prestige Antibodies® Powered by Atlas Antibodies의 토끼 유래 Anti-SGTB 항체로, 친화 정제된 항체이며 글리세롤 완충 수용액 형태로 제공됩니다.
제품 정보
| 항목 | 내용 |
|---|---|
| 생물학적 소스 | Rabbit |
| 품질 등급 | 100 |
| 결합 | Unconjugated |
| 항체 형태 | Affinity isolated antibody |
| 항체 유형 | Primary antibody |
| 클론 | Polyclonal |
| 제품 라인 | Prestige Antibodies® Powered by Atlas Antibodies |
| 제형 | Buffered aqueous glycerol solution |
| 반응 종 | Human |
| 포장 | 25 μL (small pack) |
| 향상된 검증 | Recombinant expression, Orthogonal RNAseq |
| 적용 기술 | Immunoblotting (0.04–0.4 μg/mL), Immunohistochemistry (1:1000–1:2500) |
| 면역원 서열 | EQLRNHIRSRSFSSSAEEHS |
| UniProt 번호 | Q96EQ0 |
| 배송 상태 | Wet ice |
| 저장 온도 | −20°C |
| 유전자 정보 | Human SGTB (54557) |
| 단백질 설명 | Small glutamine-rich tetratricopeptide repeat (TPR)-containing, beta |
추가 정보
Antibody Enhanced Validation에 대한 자세한 내용은 여기서 확인하세요.
🏷️Merck Sigma 상품 둘러보기
동일 브랜드의 다른 상품들을 확인해보세요

Merck Sigma
Merck Anti-ARVCF antibody produced in rabbit
370,530원

Merck Sigma
Merck Anti-RSL24D1 antibody produced in rabbit
370,530원

Merck Sigma
Merck Anti-SGTB antibody produced in rabbit
370,530원

Merck Sigma
Merck Anti-ITGA2 antibody produced in rabbit
370,530원

Merck Sigma
Merck Anti-MT-ND3 antibody produced in rabbit
370,530원
배송/결제/교환/반품 안내
배송 정보
| 기본 배송비 |
| 교환/반품 배송비 |
|
|---|---|---|---|
| 착불 배송비 |
| ||
| 교환/반품 배송비 |
| ||
결제 및 환불 안내
| 결제수단 |
|
|---|---|
| 취소 |
|
| 반품 |
|
| 환급 |
|
교환 및 반품 접수
| 교환 및 반품 접수 기한 |
|
|---|---|
| 교환 및 반품 접수가 가능한 경우 |
|
| 교환 및 반품 접수가 불가능한 경우 |
|
교환 및 반품 신청
| 교환 절차 |
|
|---|---|
| 반품 절차 |
|
문의 0
로그인 후 문의를 할 수 있습니다.