
Merck Anti-HOMER1 antibody produced in rabbit
상품 한눈에 보기
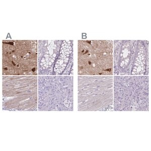
토끼에서 생산된 Anti-HOMER1 항체로, 인간 단백질에 반응하는 polyclonal 1차 항체입니다. Prestige Antibodies® 라인 제품으로 면역조직화학(IHC)에 적합하며, 정제된 glycerol 완충 용액 형태로 제공됩니다. −20°C에서 보관합니다.
브랜드: Merck Sigma
✨AI 추천 연관 상품
AI가 분석한 이 상품과 연관된 추천 상품들을 확인해보세요
연관 상품을 찾고 있습니다...
Anti-HOMER1 antibody produced in rabbit
Prestige Antibodies® Powered by Atlas Antibodies
Affinity isolated antibody, buffered aqueous glycerol solution
제품 개요
토끼에서 생산된 polyclonal 항체로, 인간 HOMER1 단백질을 인식합니다.
면역조직화학(Immunohistochemistry, IHC)에 적합하며, 정제된 glycerol 완충 용액 형태로 제공됩니다.
제품 사양
| 항목 | 내용 |
|---|---|
| 생물학적 소스 | Rabbit |
| Quality Level | 100 |
| 결합 형태 | Unconjugated |
| 항체 형태 | Affinity isolated antibody |
| 항체 유형 | Primary antibody |
| 클론 | Polyclonal |
| 제품 라인 | Prestige Antibodies® Powered by Atlas Antibodies |
| 형태(Form) | Buffered aqueous glycerol solution |
| Species Reactivity | Human |
| 포장 | 25 μL (small pack) |
| 향상된 검증(Enhanced Validation) | Orthogonal RNAseq, Independent |
| 적용 기술(Technique) | Immunohistochemistry (1:50–1:200) |
| 면역원 서열 | MELTSTPSQESAGGDLQSPLTPESINGTDDERTPDVTQNSEPRAEPTQNALPFSHSSAISKHWEAELATL |
| UniProt 수납 번호 | Q86YM7 |
| 배송 상태 | Wet ice |
| 저장 온도 | −20 °C |
| 유전자 정보 | Human HOMER1 (9456), homer homolog 1 (Drosophila) |
추가 정보
- 본 항체는 Atlas Antibodies의 Prestige Antibodies® 프로그램을 통해 제공됩니다.
- Antibody Enhanced Validation에 대한 자세한 내용은 여기에서 확인할 수 있습니다.
🏷️Merck Sigma 상품 둘러보기
동일 브랜드의 다른 상품들을 확인해보세요

Merck Sigma
Merck Anti-HOMER1 antibody produced in rabbit
895,700원

Merck Sigma
Merck Anti-SCFD2 antibody produced in rabbit
895,700원

Merck Sigma
Merck Anti-HOMER1 antibody produced in rabbit
895,700원

Merck Sigma
Merck Anti-DDX21 antibody produced in rabbit
895,600원

Merck Sigma
Merck Anti-LRPPRC antibody produced in rabbit
895,700원
배송/결제/교환/반품 안내
배송 정보
| 기본 배송비 |
| 교환/반품 배송비 |
|
|---|---|---|---|
| 착불 배송비 |
| ||
| 교환/반품 배송비 |
| ||
결제 및 환불 안내
| 결제수단 |
|
|---|---|
| 취소 |
|
| 반품 |
|
| 환급 |
|
교환 및 반품 접수
| 교환 및 반품 접수 기한 |
|
|---|---|
| 교환 및 반품 접수가 가능한 경우 |
|
| 교환 및 반품 접수가 불가능한 경우 |
|
교환 및 반품 신청
| 교환 절차 |
|
|---|---|
| 반품 절차 |
|
문의 0
로그인 후 문의를 할 수 있습니다.