
Merck Anti-RSL24D1 antibody produced in rabbit
상품 한눈에 보기
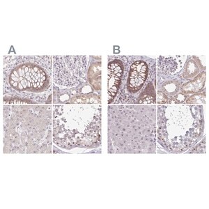
Merck의 Anti-RSL24D1 항체는 rabbit에서 생산된 polyclonal primary antibody로, 인간 RSL24D1 단백질을 인식합니다. Prestige Antibodies® 라인 제품이며, immunoblotting, immunofluorescence, immunohistochemistry에 적합합니다. −20°C에서 보관하며, 향상된 검증을 거친 고품질 항체입니다.
브랜드: Merck Sigma
✨AI 추천 연관 상품
AI가 분석한 이 상품과 연관된 추천 상품들을 확인해보세요
연관 상품을 찾고 있습니다...
Anti-RSL24D1 antibody produced in rabbit
제품 개요
Prestige Antibodies® Powered by Atlas Antibodies 시리즈의 affinity isolated rabbit polyclonal antibody로, buffered aqueous glycerol solution 형태로 제공됩니다.
생물학적 정보
| 항목 | 내용 |
|---|---|
| Biological source | Rabbit |
| Quality level | 100 |
| Conjugation | Unconjugated |
| Antibody form | Affinity isolated antibody |
| Antibody type | Primary antibody |
| Clone | Polyclonal |
| Product line | Prestige Antibodies® Powered by Atlas Antibodies |
| Form | Buffered aqueous glycerol solution |
| Species reactivity | Human |
| Packaging | Small pack, 25 μL |
| Enhanced validation | Independent |
| Shipping conditions | Wet ice |
| Storage temperature | −20°C |
기술 정보
| Technique | Recommended concentration |
|---|---|
| Immunoblotting | 0.04–0.4 μg/mL |
| Immunofluorescence | 0.25–2 μg/mL |
| Immunohistochemistry | 1:1000–1:2500 |
면역원 서열
QRELWNKTIDAMKRVEEIKQKRQAKFIMNRLKKNKELQKVQDIKEVKQNIH
UniProt 수납 번호
Gene Information
Human gene: RSL24D1 (51187)
Ribosomal L24 domain containing 1
참고 정보
자세한 내용은 Antibody Enhanced Validation 페이지에서 확인할 수 있습니다.
제품 이미지
(해당 제품 이미지가 있을 경우 이 섹션에 배치)
🏷️Merck Sigma 상품 둘러보기
동일 브랜드의 다른 상품들을 확인해보세요

Merck Sigma
Merck Anti-TAGLN3 antibody produced in rabbit
370,530원

Merck Sigma
Merck Anti-PNLIP antibody produced in rabbit
370,530원

Merck Sigma
Merck Anti-RSL24D1 antibody produced in rabbit
370,530원

Merck Sigma
Merck Anti-CHMP1B antibody produced in rabbit
370,530원

Merck Sigma
Merck Anti-PNLIP antibody produced in rabbit
370,530원
배송/결제/교환/반품 안내
배송 정보
| 기본 배송비 |
| 교환/반품 배송비 |
|
|---|---|---|---|
| 착불 배송비 |
| ||
| 교환/반품 배송비 |
| ||
결제 및 환불 안내
| 결제수단 |
|
|---|---|
| 취소 |
|
| 반품 |
|
| 환급 |
|
교환 및 반품 접수
| 교환 및 반품 접수 기한 |
|
|---|---|
| 교환 및 반품 접수가 가능한 경우 |
|
| 교환 및 반품 접수가 불가능한 경우 |
|
교환 및 반품 신청
| 교환 절차 |
|
|---|---|
| 반품 절차 |
|
문의 0
로그인 후 문의를 할 수 있습니다.