
Merck Anti-ITGA2 antibody produced in rabbit
상품 한눈에 보기
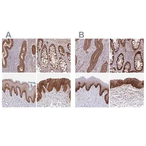
토끼에서 생산된 Anti-ITGA2 항체로 인간 ITGA2 단백질 검출에 적합. Prestige Antibodies® 라인 제품으로 높은 특이성과 신뢰성 제공. 면역조직화학(IHC)에 1:20~1:50 희석으로 사용 가능. −20°C에서 안정적 보관.
브랜드: Merck Sigma
✨AI 추천 연관 상품
AI가 분석한 이 상품과 연관된 추천 상품들을 확인해보세요
연관 상품을 찾고 있습니다...
Anti-ITGA2 antibody produced in rabbit
Prestige Antibodies® Powered by Atlas Antibodies
Affinity isolated antibody, buffered aqueous glycerol solution
제품 개요
- 생물학적 소스: rabbit
- 제품 라인: Prestige Antibodies® Powered by Atlas Antibodies
- 항체 형태: affinity isolated antibody
- 결합: unconjugated
- 클론: polyclonal
- antibody product type: primary antibodies
- species reactivity: human
- form: buffered aqueous glycerol solution
- 포장: antibody small pack of 25 μL
- 배송 상태: wet ice
- 저장 온도: −20°C
향상된 검증
Independent
자세한 내용은 Antibody Enhanced Validation 참고
실험 적용
- Technique(s): immunohistochemistry (1:20–1:50)
면역원 서열
SSSVSFKSENFRHTKELNCRTASCSNVTCWLKDVHMKGEYFVNVTTRIWNGTFASSTFQTVQLTAAAEINTYNPEIYVIEDNTVTIPLMIMKPDE
UniProt 수납 번호
Gene Information
Human ITGA2 (3673)
Integrin, alpha 2 (CD49B, alpha 2 subunit of VLA-2 receptor)
스펙 요약
| 항목 | 내용 |
|---|---|
| Biological Source | Rabbit |
| Product Line | Prestige Antibodies® Powered by Atlas Antibodies |
| Antibody Form | Affinity isolated antibody |
| Conjugation | Unconjugated |
| Clone | Polyclonal |
| Species Reactivity | Human |
| Formulation | Buffered aqueous glycerol solution |
| Packaging | 25 μL small pack |
| Application | Immunohistochemistry (1:20–1:50) |
| Storage Temperature | −20°C |
| Shipping Condition | Wet ice |
| UniProt Accession | P17301 |
| Gene Symbol | ITGA2 |
🏷️Merck Sigma 상품 둘러보기
동일 브랜드의 다른 상품들을 확인해보세요

Merck Sigma
Merck Anti-SUGP2 antibody produced in rabbit
370,530원

Merck Sigma
Merck Anti-FKBP6 antibody produced in rabbit
887,370원

Merck Sigma
Merck Anti-ITGA2 antibody produced in rabbit
370,530원

Merck Sigma
Merck Anti-CD5 antibody produced in rabbit
370,530원

Merck Sigma
Merck Anti-EHF antibody produced in rabbit
370,530원
배송/결제/교환/반품 안내
배송 정보
| 기본 배송비 |
| 교환/반품 배송비 |
|
|---|---|---|---|
| 착불 배송비 |
| ||
| 교환/반품 배송비 |
| ||
결제 및 환불 안내
| 결제수단 |
|
|---|---|
| 취소 |
|
| 반품 |
|
| 환급 |
|
교환 및 반품 접수
| 교환 및 반품 접수 기한 |
|
|---|---|
| 교환 및 반품 접수가 가능한 경우 |
|
| 교환 및 반품 접수가 불가능한 경우 |
|
교환 및 반품 신청
| 교환 절차 |
|
|---|---|
| 반품 절차 |
|
문의 0
로그인 후 문의를 할 수 있습니다.