
Merck Anti-SFPQ antibody produced in rabbit
상품 한눈에 보기
토끼에서 생산된 Anti-SFPQ polyclonal 항체로, 인간 SFPQ 단백질 검출에 적합합니다. Atlas Antibodies의 Prestige Antibodies® 라인 제품이며, 면역형광, 면역조직화학, 웨스턴블롯 등 다양한 응용에 사용 가능합니다. −20°C 보관.
브랜드: Merck Sigma
✨AI 추천 연관 상품
AI가 분석한 이 상품과 연관된 추천 상품들을 확인해보세요
연관 상품을 찾고 있습니다...
Anti-SFPQ antibody produced in rabbit
Prestige Antibodies® Powered by Atlas Antibodies
Affinity isolated antibody, buffered aqueous glycerol solution.
제품 개요
본 항체는 토끼에서 생산된 polyclonal 항체로, 인간 SFPQ 단백질을 인식합니다. Atlas Antibodies의 Prestige Antibodies® 라인 제품으로, 다양한 면역학적 분석에 활용 가능합니다.
제품 사양
| 항목 | 내용 |
|---|---|
| Biological source | Rabbit |
| Quality level | 100 |
| Conjugate | Unconjugated |
| Antibody form | Affinity isolated antibody |
| Antibody type | Primary antibodies |
| Clone | Polyclonal |
| Product line | Prestige Antibodies® Powered by Atlas Antibodies |
| Form | Buffered aqueous glycerol solution |
| Species reactivity | Human |
| Packaging | Small pack of 25 μL |
| Enhanced validation | Independent (Learn more about Antibody Enhanced Validation) |
| Isotype | IgG |
| Immunogen sequence | IGYEANPGVPPATMSGSMMGSDMRTERFGQGGAGPVGGQGPRGMGPGTPAGYGRGREEYEGPNK |
| UniProt accession no. | P23246 |
| Shipping conditions | Wet ice |
| Storage temperature | −20°C |
| Gene information | Human SFPQ (6421) — Splicing factor proline/glutamine-rich |
권장 실험 적용
| Technique | Recommended dilution/concentration |
|---|---|
| Immunoblotting (WB) | 0.04–0.4 μg/mL |
| Immunofluorescence (IF) | 0.25–2 μg/mL |
| Immunohistochemistry (IHC) | 1:200–1:500 |
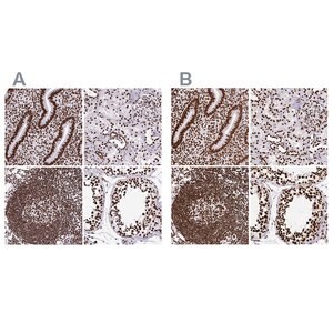
제품 이미지
🏷️Merck Sigma 상품 둘러보기
동일 브랜드의 다른 상품들을 확인해보세요

Merck Sigma
Merck Anti-LMNB2 antibody produced in rabbit
370,530원

Merck Sigma
Merck Anti-CYB5A antibody produced in rabbit
370,530원

Merck Sigma
Merck Anti-SFPQ antibody produced in rabbit
370,530원

Merck Sigma
Merck Anti-TXN antibody produced in rabbit
370,530원

Merck Sigma
Merck Anti-CLDN17 antibody produced in rabbit
370,530원
배송/결제/교환/반품 안내
배송 정보
| 기본 배송비 |
| 교환/반품 배송비 |
|
|---|---|---|---|
| 착불 배송비 |
| ||
| 교환/반품 배송비 |
| ||
결제 및 환불 안내
| 결제수단 |
|
|---|---|
| 취소 |
|
| 반품 |
|
| 환급 |
|
교환 및 반품 접수
| 교환 및 반품 접수 기한 |
|
|---|---|
| 교환 및 반품 접수가 가능한 경우 |
|
| 교환 및 반품 접수가 불가능한 경우 |
|
교환 및 반품 신청
| 교환 절차 |
|
|---|---|
| 반품 절차 |
|
문의 0
로그인 후 문의를 할 수 있습니다.