
Merck Anti-HAAO antibody produced in rabbit
상품 한눈에 보기
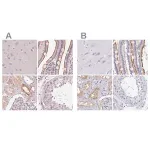
토끼에서 생산된 Anti-HAAO 항체로, 인간 HAAO 단백질을 인식하는 polyclonal 1차 항체입니다. Prestige Antibodies® 시리즈로 향상된 검증(Enhanced Validation)을 거쳤으며, 면역조직화학(IHC)에 적합합니다. −20°C에서 보관하며, 25 μL 소포장으로 제공됩니다.
브랜드: Merck Sigma
✨AI 추천 연관 상품
AI가 분석한 이 상품과 연관된 추천 상품들을 확인해보세요
연관 상품을 찾고 있습니다...
Anti-HAAO antibody produced in rabbit
Prestige Antibodies® Powered by Atlas Antibodies
Affinity isolated antibody, buffered aqueous glycerol solution
제품 개요
토끼에서 생산된 polyclonal 1차 항체로, 인간 HAAO 단백질을 인식합니다. Prestige Antibodies® 시리즈로 향상된 검증(Enhanced Validation)을 거쳐 높은 특이성과 재현성을 제공합니다.
제품 사양
| 항목 | 내용 |
|---|---|
| Biological Source | Rabbit |
| Quality Level | 100 |
| Conjugation | Unconjugated |
| Antibody Form | Affinity isolated antibody |
| Antibody Type | Primary antibody |
| Clone Type | Polyclonal |
| Product Line | Prestige Antibodies® Powered by Atlas Antibodies |
| Formulation | Buffered aqueous glycerol solution |
| Species Reactivity | Human |
| Packaging | Small pack, 25 μL |
| Isotype | IgG |
| Immunogen Sequence | PLSLFGDTYETQVIAYGQGSSEGLRQNVDVWLWQLEGSSVVTMGGRRLSLAPDDSLLVLAGTSYAWERTQGSVALSVTQDP |
| UniProt Accession No. | P46952 |
| Gene Information | Human HAAO (23498) |
| Protein Name | 3-hydroxyanthranilate 3,4-dioxygenase |
| Technique(s) | Immunohistochemistry (IHC): 1:500–1:1000 |
| Enhanced Validation | Independent, orthogonal RNAseq |
| Shipping Conditions | Wet ice |
| Storage Temperature | −20°C |
향상된 검증 (Enhanced Validation)
본 제품은 독립적 및 RNAseq 기반의 orthogonal 검증을 통해 항체의 특이성과 신뢰성을 향상시킨 Prestige Antibodies® 제품입니다.
자세한 내용은 Antibody Enhanced Validation 페이지를 참고하십시오.
🏷️Merck Sigma 상품 둘러보기
동일 브랜드의 다른 상품들을 확인해보세요

Merck Sigma
Merck Anti-ZNF488 antibody produced in rabbit
370,530원

Merck Sigma
Merck Anti-SLC6A19 antibody produced in rabbit
817,800원

Merck Sigma
Merck Anti-HAAO antibody produced in rabbit
895,700원

Merck Sigma
Merck Anti-TREH antibody produced in rabbit
895,700원

Merck Sigma
Merck Anti-C6orf58 antibody produced in rabbit
895,700원
배송/결제/교환/반품 안내
배송 정보
| 기본 배송비 |
| 교환/반품 배송비 |
|
|---|---|---|---|
| 착불 배송비 |
| ||
| 교환/반품 배송비 |
| ||
결제 및 환불 안내
| 결제수단 |
|
|---|---|
| 취소 |
|
| 반품 |
|
| 환급 |
|
교환 및 반품 접수
| 교환 및 반품 접수 기한 |
|
|---|---|
| 교환 및 반품 접수가 가능한 경우 |
|
| 교환 및 반품 접수가 불가능한 경우 |
|
교환 및 반품 신청
| 교환 절차 |
|
|---|---|
| 반품 절차 |
|
문의 0
로그인 후 문의를 할 수 있습니다.