
Merck Anti-MRPL10 antibody produced in rabbit
상품 한눈에 보기
토끼에서 생산된 Anti-MRPL10 폴리클로날 항체로 인간 MRPL10 단백질을 인식합니다. Prestige Antibodies® 제품군으로 높은 품질과 독립적 검증을 거쳤습니다. 면역블롯, 면역형광, 면역조직화학 등 다양한 기술에 적합합니다. −20°C에서 보관하며 습식 얼음 상태로 배송됩니다.
브랜드: Merck Sigma
✨AI 추천 연관 상품
AI가 분석한 이 상품과 연관된 추천 상품들을 확인해보세요
연관 상품을 찾고 있습니다...
Anti-MRPL10 antibody produced in rabbit
제품 개요
Prestige Antibodies® Powered by Atlas Antibodies, affinity isolated antibody, buffered aqueous glycerol solution.
생물학적 정보
| 항목 | 내용 |
|---|---|
| 생물학적 소스 | Rabbit |
| 클론 | Polyclonal |
| 결합 | Unconjugated |
| 항체 형태 | Affinity isolated antibody |
| 항체 유형 | Primary antibody |
| 제품 라인 | Prestige Antibodies® Powered by Atlas Antibodies |
| 형태 | Buffered aqueous glycerol solution |
| 동형 | IgG |
| 종 반응성 | Human |
| 포장 | 25 μL (small pack) |
품질 및 검증
| 항목 | 내용 |
|---|---|
| 품질 등급 | 100 |
| 향상된 검증 | Independent (Antibody Enhanced Validation) |
적용 기술
| 기술 | 권장 사용 농도 |
|---|---|
| Immunoblotting | 0.04–0.4 μg/mL |
| Immunofluorescence | 0.25–2 μg/mL |
| Immunohistochemistry | 1:1000–1:2500 |
면역원 정보
| 항목 | 내용 |
|---|---|
| 면역원 서열 | RLPTLQTVRYGSKAVTRHRRVMHFQRQKLMAVTEYIPPKPAIHPSCLPSPPSPPQEEIGLIRLLRREIAAVFQDNRMIAVCQ |
| UniProt 수납 번호 | Q7Z7H8 |
| Gene Information | Human MRPL10 (124995) – mitochondrial ribosomal protein L10 |
보관 및 배송
| 항목 | 내용 |
|---|---|
| 배송 상태 | Wet ice |
| 저장 온도 | −20°C |
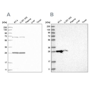
제품 이미지
(이미지 없음)
🏷️Merck Sigma 상품 둘러보기
동일 브랜드의 다른 상품들을 확인해보세요

Merck Sigma
Merck Monoclonal Anti-PPIB antibody produced in mouse
695,100원

Merck Sigma
Merck Anti-METAP1D antibody produced in rabbit
895,700원

Merck Sigma
Merck Anti-MRPL10 antibody produced in rabbit
895,700원

Merck Sigma
Merck Anti-IGF2 antibody produced in rabbit
793,800원

Merck Sigma
Merck Monoclonal Anti-PFN1 antibody produced in mouse
695,100원
배송/결제/교환/반품 안내
배송 정보
| 기본 배송비 |
| 교환/반품 배송비 |
|
|---|---|---|---|
| 착불 배송비 |
| ||
| 교환/반품 배송비 |
| ||
결제 및 환불 안내
| 결제수단 |
|
|---|---|
| 취소 |
|
| 반품 |
|
| 환급 |
|
교환 및 반품 접수
| 교환 및 반품 접수 기한 |
|
|---|---|
| 교환 및 반품 접수가 가능한 경우 |
|
| 교환 및 반품 접수가 불가능한 경우 |
|
교환 및 반품 신청
| 교환 절차 |
|
|---|---|
| 반품 절차 |
|
문의 0
로그인 후 문의를 할 수 있습니다.