
Merck Anti-COQ2 antibody produced in rabbit
상품 한눈에 보기
토끼에서 생산된 Anti-COQ2 항체로, 인간 COQ2 단백질을 인식하는 polyclonal 1차 항체입니다. Prestige Antibodies® 라인 제품으로, 면역블롯팅 및 면역형광에 적합하며, 향상된 검증을 거친 고품질 항체입니다.
브랜드: Merck Sigma
✨AI 추천 연관 상품
AI가 분석한 이 상품과 연관된 추천 상품들을 확인해보세요
연관 상품을 찾고 있습니다...
Anti-COQ2 antibody produced in rabbit
Prestige Antibodies® Powered by Atlas Antibodies
Affinity isolated primary antibody
제품 개요
Merck의 Anti-COQ2 항체는 토끼에서 생산된 polyclonal 항체로, 인간 COQ2(coenzyme Q2 4-hydroxybenzoate polyprenyltransferase)를 특이적으로 인식합니다. 면역블롯팅 및 면역형광 실험에 적합하며, Atlas Antibodies의 향상된 검증(Enhanced Validation)을 거친 고품질 항체입니다.
제품 사양
| 항목 | 내용 |
|---|---|
| 생물학적 소스 | Rabbit |
| 품질 등급 | 100 |
| 결합 형식 | Unconjugated |
| 항체 형태 | Affinity isolated antibody |
| 항체 유형 | Primary antibody |
| 클론 | Polyclonal |
| 제품 라인 | Prestige Antibodies® Powered by Atlas Antibodies |
| 형태 | Buffered aqueous glycerol solution |
| 반응 종 | Human |
| 향상된 검증 | Independent (Antibody Enhanced Validation) |
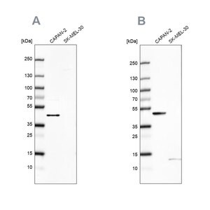
| 적용 기술 | Immunoblotting: 0.04–0.4 μg/mL Immunofluorescence: 0.25–2 μg/mL |
| 면역원 서열 | NSGQTAPYYAALGAVGAHLTHQIYTLDIHRPEDCWNKFI |
| UniProt 번호 | Q96H96 |
| 배송 상태 | Wet ice |
| 저장 온도 | −20°C |
| 유전자 정보 | Human COQ2(27235) |
| 단백질명 | Coenzyme Q2 4-hydroxybenzoate polyprenyltransferase |
참고 정보
- 본 항체는 Atlas Antibodies의 Prestige Antibodies® 라인으로, 엄격한 품질 관리와 독립적 검증을 통해 높은 재현성과 특이성을 제공합니다.
- Antibody Enhanced Validation에 대한 자세한 내용은 Merck의 기술 문서를 참고하십시오.
🏷️Merck Sigma 상품 둘러보기
동일 브랜드의 다른 상품들을 확인해보세요

Merck Sigma
Merck Anti-PES1 antibody produced in rabbit
895,700원

Merck Sigma
Merck Anti-PNOC antibody produced in rabbit
370,530원

Merck Sigma
Merck Anti-COQ2 antibody produced in rabbit
817,800원

Merck Sigma
Merck Anti-GLYAT antibody produced in rabbit
895,700원

Merck Sigma
Merck Anti-LGSN antibody produced in rabbit
895,700원
배송/결제/교환/반품 안내
배송 정보
| 기본 배송비 |
| 교환/반품 배송비 |
|
|---|---|---|---|
| 착불 배송비 |
| ||
| 교환/반품 배송비 |
| ||
결제 및 환불 안내
| 결제수단 |
|
|---|---|
| 취소 |
|
| 반품 |
|
| 환급 |
|
교환 및 반품 접수
| 교환 및 반품 접수 기한 |
|
|---|---|
| 교환 및 반품 접수가 가능한 경우 |
|
| 교환 및 반품 접수가 불가능한 경우 |
|
교환 및 반품 신청
| 교환 절차 |
|
|---|---|
| 반품 절차 |
|
문의 0
로그인 후 문의를 할 수 있습니다.