
Merck Anti-COPG1 antibody produced in rabbit
Merck의 Anti-COPG1 rabbit polyclonal antibody로 인간 COPG1 단백질을 검출. Prestige Antibodies® 라인 제품으로 높은 특이성과 재현성 보장. 면역블롯, 면역형광, 면역조직화학에 적합. −20°C에서 안정적으로 보관 가능.
✨AI 추천 연관 상품
AI가 분석한 이 상품과 연관된 추천 상품들을 확인해보세요
연관 상품을 찾고 있습니다...
Anti-COPG1 antibody produced in rabbit
제품 개요
Prestige Antibodies® Powered by Atlas Antibodies 시리즈의 affinity isolated rabbit polyclonal antibody로, 인간 COPG1 단백질을 검출합니다. 높은 특이성과 재현성을 제공하며 다양한 면역학적 실험에 적합합니다.
생물학적 소스
rabbit
품질 등급
100 (M-Clarity Program 등급)
결합 형태
unconjugated
항체 형태
affinity isolated antibody
항체 유형
primary antibody
클론
polyclonal
제품 라인
Prestige Antibodies® Powered by Atlas Antibodies
제형
buffered aqueous glycerol solution
반응 종
human
포장
antibody small pack of 25 μL
향상된 검증
독립적 검증 수행
자세한 내용은 Antibody Enhanced Validation 문서를 참고하세요.
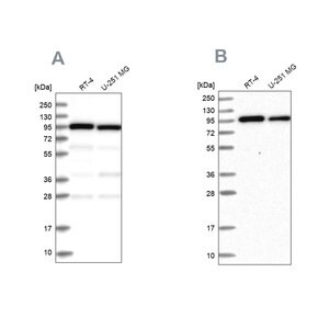
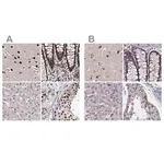
적용 기술
| Technique | Recommended Concentration |
|---|---|
| Immunoblotting | 0.04–0.4 μg/mL |
| Immunofluorescence | 0.25–2 μg/mL |
| Immunohistochemistry | 1:50–1:200 |
면역원 서열
MLPSILVLLKRCVMDDDNEVRDRATFYLNVLEQKQKALNAGYILNGLTVSIPGLERALQQYTLEPSEKPFDLKSVPL
UniProt 수납 번호
배송 상태
wet ice
저장 온도
−20°C
유전자 정보
human COPG1(22820)
coatomer protein complex, subunit gamma 1
🏷️Merck Sigma 상품 둘러보기
동일 브랜드의 다른 상품들을 확인해보세요

Merck Sigma
Merck Anti-U2SURP antibody produced in rabbit
895,700원

Merck Sigma
Merck Anti-KIF5B antibody produced in rabbit
817,800원

Merck Sigma
Merck Anti-COPG1 antibody produced in rabbit
895,700원

Merck Sigma
Merck Anti-RASA1 antibody produced in rabbit
817,800원

Merck Sigma
Merck Anti-KIF5B antibody produced in rabbit
817,800원
배송/결제/교환/반품 안내
배송 정보
| 기본 배송비 |
| 교환/반품 배송비 |
|
|---|---|---|---|
| 착불 배송비 |
| ||
| 교환/반품 배송비 |
| ||
결제 및 환불 안내
| 결제수단 |
|
|---|---|
| 취소 |
|
| 반품 |
|
| 환급 |
|
교환 및 반품 접수
| 교환 및 반품 접수 기한 |
|
|---|---|
| 교환 및 반품 접수가 가능한 경우 |
|
| 교환 및 반품 접수가 불가능한 경우 |
|
교환 및 반품 신청
| 교환 절차 |
|
|---|---|
| 반품 절차 |
|