
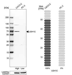
Merck Anti-USH1C antibody produced in rabbit
상품 한눈에 보기
토끼에서 생산된 Anti-USH1C 항체로, 인간 및 생쥐 단백질에 반응합니다. Prestige Antibodies® 라인 제품으로 정제된 1차 항체입니다. 면역블롯, 면역형광, 면역조직화학 등에 사용 가능하며 −20°C에서 보관합니다.
브랜드: Merck Sigma
✨AI 추천 연관 상품
AI가 분석한 이 상품과 연관된 추천 상품들을 확인해보세요
연관 상품을 찾고 있습니다...
Anti-USH1C antibody produced in rabbit
Prestige Antibodies® Powered by Atlas Antibodies
Affinity isolated antibody, buffered aqueous glycerol solution, ab1
제품 개요
Usher syndrome 1C (autosomal recessive, severe) recombinant protein epitope signature tag (PrEST)에 대한 항체입니다.
제품 사양
| 항목 | 내용 |
|---|---|
| 생물학적 소스 | Rabbit |
| Quality Level | 100 |
| 결합 | Unconjugated |
| 항체 형태 | Affinity isolated antibody |
| Antibody Product Type | Primary antibodies |
| 클론 | Polyclonal |
| 제품 라인 | Prestige Antibodies® Powered by Atlas Antibodies |
| 형태(Form) | Buffered aqueous glycerol solution |
| Species Reactivity | Human, Mouse |
| 포장 단위 | 25 μL (small pack) |
| 향상된 검증 | Orthogonal RNAseq |
| 기법(Technique) | Immunoblotting: 0.04–0.4 μg/mL Immunofluorescence: 0.25–2 μg/mL Immunohistochemistry: 1:50–1:200 |
| 면역원 서열 | IVEEEEKFKKQWEEDWGSKEQLLLPKTITAEVHPVPLRKPKYDQGVEPELEPADDLDGGTEEQGEQDFRKYEEGFDPYSM |
| UniProt 수납 번호 | Q9Y6N9 |
| 배송 상태 | Wet ice |
| 저장 온도 | −20°C |
| Gene Information | Human USH1C(10083) |
추가 정보
Learn more about Antibody Enhanced Validation
제품 이미지
(이미지 없음)
🏷️Merck Sigma 상품 둘러보기
동일 브랜드의 다른 상품들을 확인해보세요

Merck Sigma
Merck Anti-PRPF6 antibody produced in rabbit
370,530원

Merck Sigma
Merck Anti-CRELD1 antibody produced in rabbit
895,700원

Merck Sigma
Merck Anti-USH1C antibody produced in rabbit
895,700원

Merck Sigma
Merck Anti-C14orf37 antibody produced in rabbit
370,530원

Merck Sigma
Merck Anti-CDHR5 antibody produced in rabbit
895,700원
배송/결제/교환/반품 안내
배송 정보
| 기본 배송비 |
| 교환/반품 배송비 |
|
|---|---|---|---|
| 착불 배송비 |
| ||
| 교환/반품 배송비 |
| ||
결제 및 환불 안내
| 결제수단 |
|
|---|---|
| 취소 |
|
| 반품 |
|
| 환급 |
|
교환 및 반품 접수
| 교환 및 반품 접수 기한 |
|
|---|---|
| 교환 및 반품 접수가 가능한 경우 |
|
| 교환 및 반품 접수가 불가능한 경우 |
|
교환 및 반품 신청
| 교환 절차 |
|
|---|---|
| 반품 절차 |
|
문의 0
로그인 후 문의를 할 수 있습니다.