
Merck Anti-NPLOC4 antibody produced in rabbit
토끼에서 생산된 Anti-NPLOC4 항체로, Prestige Antibodies® Powered by Atlas Antibodies 제품입니다. 인간, 생쥐, 랫트에 반응하며 면역형광, 면역블롯, 면역조직화학에 사용 가능합니다. 친화 정제된 1차 항체로 −20°C에서 보관합니다.
✨AI 추천 연관 상품
AI가 분석한 이 상품과 연관된 추천 상품들을 확인해보세요
연관 상품을 찾고 있습니다...
Anti-NPLOC4 antibody produced in rabbit
제품 개요
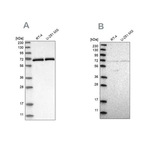
Prestige Antibodies® Powered by Atlas Antibodies 시리즈의 친화 정제 항체로, buffered aqueous glycerol solution 형태로 제공됩니다.
생물학적 소스
rabbit
품질 등급
100 (M-Clarity Program)
결합 형태
unconjugated
항체 형태
affinity isolated antibody
항체 유형
primary antibodies
클론
polyclonal
제품 라인
Prestige Antibodies® Powered by Atlas Antibodies
제형
buffered aqueous glycerol solution
반응 종
rat, mouse, human
포장 단위
antibody small pack of 25 μL
향상된 검증
independent
자세한 내용은 Antibody Enhanced Validation 참고
적용 기술
- Immunoblotting: 0.04–0.4 μg/mL
- Immunofluorescence: 0.25–2 μg/mL
- Immunohistochemistry: 1:20–1:50
면역원 서열
VRDECLLPCKDAPELGYAKESSSEQYVPDVFYKDVDKFGNEITQLARPLPVEYLIIDITTTFPKDPVYTFSISQNPFPIENRDVLGETQDFHSLATYLSQNTSSVFLDTISDFHLLLFLVTNE
UniProt 수납 번호
배송 상태
wet ice
저장 온도
−20°C
유전자 정보
human ... NPLOC4 (55666)
Nuclear protein localization protein 4 homolog recombinant protein epitope signature tag (PrEST)
제품 사양 요약
| 항목 | 내용 |
|---|---|
| 생물학적 소스 | Rabbit |
| 항체 형태 | Affinity isolated antibody |
| 항체 유형 | Polyclonal, Primary |
| 제형 | Buffered aqueous glycerol solution |
| 반응 종 | Human, Mouse, Rat |
| 검증 | Independent (Enhanced Validation) |
| 적용 기술 | Immunoblotting, Immunofluorescence, Immunohistochemistry |
| 포장 | 25 μL |
| 보관 온도 | −20°C |
| 배송 상태 | Wet ice |
| UniProt 번호 | Q8TAT6 |
🏷️Merck Sigma 상품 둘러보기
동일 브랜드의 다른 상품들을 확인해보세요

Merck Sigma
Merck Anti-RAB3C antibody produced in rabbit
370,530원

Merck Sigma
Merck Anti-MAP4 antibody produced in rabbit
370,530원

Merck Sigma
Merck Anti-NPLOC4 antibody produced in rabbit
895,700원

Merck Sigma
Merck Anti-PLEC antibody produced in rabbit
370,530원

Merck Sigma
Merck Anti-TOMM70 antibody produced in rabbit
370,530원
배송/결제/교환/반품 안내
배송 정보
| 기본 배송비 |
| 교환/반품 배송비 |
|
|---|---|---|---|
| 착불 배송비 |
| ||
| 교환/반품 배송비 |
| ||
결제 및 환불 안내
| 결제수단 |
|
|---|---|
| 취소 |
|
| 반품 |
|
| 환급 |
|
교환 및 반품 접수
| 교환 및 반품 접수 기한 |
|
|---|---|
| 교환 및 반품 접수가 가능한 경우 |
|
| 교환 및 반품 접수가 불가능한 경우 |
|
교환 및 반품 신청
| 교환 절차 |
|
|---|---|
| 반품 절차 |
|