
Merck Anti-GALT antibody produced in rabbit
상품 한눈에 보기
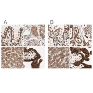
토끼에서 생산된 Anti-GALT 항체로, 인간·쥐·생쥐 반응성을 가지는 polyclonal 1차 항체입니다. Prestige Antibodies® 라인으로, affinity isolation 방식으로 정제되었으며 Western blot과 IHC에 적합합니다. −20°C에서 보관하며, glycerol 완충 용액 형태로 제공됩니다.
브랜드: Merck Sigma
✨AI 추천 연관 상품
AI가 분석한 이 상품과 연관된 추천 상품들을 확인해보세요
연관 상품을 찾고 있습니다...
Anti-GALT antibody produced in rabbit
제품 개요
Ab1, Prestige Antibodies® Powered by Atlas Antibodies
Affinity isolated antibody, buffered aqueous glycerol solution
제품 사양
| 항목 | 내용 |
|---|---|
| 생물학적 소스 | Rabbit |
| Quality Level | 100 |
| 결합 형태 | Unconjugated |
| 항체 형태 | Affinity isolated antibody |
| 항체 종류 | Primary antibodies |
| 클론 | Polyclonal |
| 제품 라인 | Prestige Antibodies® Powered by Atlas Antibodies |
| 형태 | Buffered aqueous glycerol solution |
| Species Reactivity | Rat, Human, Mouse |
| 포장 단위 | Antibody small pack of 25 μL |
| 향상된 검증 | Independent (Antibody Enhanced Validation) |
| 기법(권장 농도) | Immunoblotting: 0.04–0.4 μg/mL Immunohistochemistry: 1:20–1:50 |
| 면역원 서열 | RANDHQHIRYNPLQDEWVLVSAHRMKRPWQGQVEPQLLKTVPRHDPLNPLCPGAIRANGEVNPQYDSTFLFDNDFPALQPDAPSPGPSDHPLFQAKSARGVCKVMCFHPWSD |
| UniProt 수납 번호 | P07902 |
| 배송 상태 | Wet ice |
| 저장 온도 | −20 °C |
유전자 정보
Human: GALT (2592)
GALT (galactose-1-phosphate uridylyltransferase)는 갈락토스 대사의 Leloir 경로에 주요하게 관여하는 효소입니다. 구조 연구에 따르면 GALT는 homodimer 형태의 분자로, 각 단량체는 여섯 개의 α-helix와 아홉 개의 anti-parallel β-strand로 이루어진 β-sheet를 포함하며, 각각 두 개의 활성 부위를 가지고 있습니다.
🏷️Merck Sigma 상품 둘러보기
동일 브랜드의 다른 상품들을 확인해보세요

Merck Sigma
Merck Anti-BICC1 antibody produced in rabbit
370,530원

Merck Sigma
Merck Anti-CUL4B antibody produced in rabbit
370,530원

Merck Sigma
Merck Anti-GALT antibody produced in rabbit
817,800원

Merck Sigma
Merck Anti-AAK1 antibody produced in rabbit
895,700원

Merck Sigma
Merck Anti-FZD6 antibody produced in rabbit
370,530원
배송/결제/교환/반품 안내
배송 정보
| 기본 배송비 |
| 교환/반품 배송비 |
|
|---|---|---|---|
| 착불 배송비 |
| ||
| 교환/반품 배송비 |
| ||
결제 및 환불 안내
| 결제수단 |
|
|---|---|
| 취소 |
|
| 반품 |
|
| 환급 |
|
교환 및 반품 접수
| 교환 및 반품 접수 기한 |
|
|---|---|
| 교환 및 반품 접수가 가능한 경우 |
|
| 교환 및 반품 접수가 불가능한 경우 |
|
교환 및 반품 신청
| 교환 절차 |
|
|---|---|
| 반품 절차 |
|
문의 0
로그인 후 문의를 할 수 있습니다.