
Merck Anti-TF antibody produced in rabbit
토끼에서 생산된 Anti-TF 항체로 인간 Transferrin 단백질 검출에 적합합니다. Prestige Antibodies® 라인 제품으로 면역블롯 및 면역조직화학에 사용됩니다. 친화 정제된 비결합 폴리클로날 항체이며 −20°C에서 보관합니다.
✨AI 추천 연관 상품
AI가 분석한 이 상품과 연관된 추천 상품들을 확인해보세요
연관 상품을 찾고 있습니다...
Anti-TF antibody produced in rabbit
제품 개요
Ab1, Prestige Antibodies® Powered by Atlas Antibodies
Affinity isolated antibody, buffered aqueous glycerol solution
생물학적 소스
rabbit
품질 등급
100 (M-Clarity Program)
결합 형태
unconjugated
항체 형태
affinity isolated antibody
항체 유형
primary antibodies
클론
polyclonal
제품 라인
Prestige Antibodies® Powered by Atlas Antibodies
제형
buffered aqueous glycerol solution
반응 종
human
포장
antibody small pack of 25 μL
향상된 검증
independent
Learn more about Antibody Enhanced Validation
적용 기술
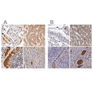
- Immunoblotting: 0.04–0.4 μg/mL
- Immunohistochemistry: 1:500–1:1000
면역원 서열
DGPSVACVKKASYLDCIRAIAANEADAVTLDAGLVYDAYLAPNNLKPVVAEFYGSKEDPQTFYYAVAVVKKDSGFQMNQLRGKKSCHTGLGRSAGWNIPIGLLYCDLPEPRKPLEKA
UniProt 수납 번호
배송 상태
wet ice
저장 온도
−20°C
유전자 정보
human ... TF(7018)
단백질 설명
Transferrin (TF)는 약 80 kDa의 단일체 혈장 당단백질로 철 결합 특성을 지니며, 두 개의 철 결합 부위를 가진 두 영역으로 나뉩니다. N-말단과 C-말단 도메인은 각각 두 개의 하위 도메인(N1, N2 및 C1, C2)으로 구성되며, 힌지 영역으로 연결되어 있습니다.
제품 스펙 요약
| 항목 | 내용 |
|---|---|
| Biological Source | Rabbit |
| Quality Level | 100 |
| Conjugation | Unconjugated |
| Antibody Type | Primary, Polyclonal |
| Product Line | Prestige Antibodies® |
| Form | Buffered aqueous glycerol solution |
| Species Reactivity | Human |
| Packaging | 25 μL small pack |
| Storage Temperature | −20°C |
| Shipping Condition | Wet ice |
| Techniques | Immunoblotting, Immunohistochemistry |
| UniProt Accession | P02787 |
| Gene | TF (7018) |
🏷️Merck Sigma 상품 둘러보기
동일 브랜드의 다른 상품들을 확인해보세요

Merck Sigma
Merck Anti-ARPC1B antibody produced in rabbit
895,700원

Merck Sigma
Merck Anti-CKB antibody produced in rabbit
817,800원

Merck Sigma
Merck Anti-TF antibody produced in rabbit
370,530원

Merck Sigma
Merck Anti-CRABP2 antibody produced in rabbit
370,530원

Merck Sigma
Merck Anti-KRT1 antibody produced in rabbit
370,530원
배송/결제/교환/반품 안내
배송 정보
| 기본 배송비 |
| 교환/반품 배송비 |
|
|---|---|---|---|
| 착불 배송비 |
| ||
| 교환/반품 배송비 |
| ||
결제 및 환불 안내
| 결제수단 |
|
|---|---|
| 취소 |
|
| 반품 |
|
| 환급 |
|
교환 및 반품 접수
| 교환 및 반품 접수 기한 |
|
|---|---|
| 교환 및 반품 접수가 가능한 경우 |
|
| 교환 및 반품 접수가 불가능한 경우 |
|
교환 및 반품 신청
| 교환 절차 |
|
|---|---|
| 반품 절차 |
|