
Merck Anti-SSTR2 antibody produced in rabbit
상품 한눈에 보기
토끼에서 생산된 Anti-SSTR2 항체로, 인간 SSTR2 단백질을 인식하는 polyclonal 1차 항체입니다. Prestige Antibodies® 라인 제품으로, 친화 정제된 glycerol 완충 용액 형태입니다. Western blot, IF, IHC 등 다양한 응용에 적합하며 −20°C에서 보관합니다.
브랜드: Merck Sigma
✨AI 추천 연관 상품
AI가 분석한 이 상품과 연관된 추천 상품들을 확인해보세요
연관 상품을 찾고 있습니다...
Anti-SSTR2 antibody produced in rabbit
Prestige Antibodies® Powered by Atlas Antibodies
Affinity isolated antibody, buffered aqueous glycerol solution
제품 개요
이 항체는 토끼에서 생산된 polyclonal 항체로, 인간 Somatostatin receptor 2 (SSTR2)를 인식합니다. Prestige Antibodies® Powered by Atlas Antibodies 라인으로, 다양한 면역분석 기술에 사용 가능합니다.
제품 사양
| 항목 | 내용 |
|---|---|
| Biological source | Rabbit |
| Quality level | 100 |
| Conjugate | Unconjugated |
| Antibody type | Primary antibody |
| Clonality | Polyclonal |
| Product line | Prestige Antibodies® Powered by Atlas Antibodies |
| Form | Buffered aqueous glycerol solution |
| Species reactivity | Human |
| Packaging | 25 μL small pack |
| Enhanced validation | Recombinant expression |
| Techniques | Immunoblotting (0.04–0.4 μg/mL), Immunofluorescence (0.25–2 μg/mL), Immunohistochemistry (1:50–1:200) |
| Immunogen sequence | DNFKKSFQNVLCLVKVSGTDDGERSDSKQDKSRLNETTETQRTLLNGDLQTSI |
| UniProt accession no. | P30874 |
| Shipping conditions | Wet ice |
| Storage temperature | −20°C |
| Gene information | Human SSTR2 (6752) |
Gene Information
SSTR2 (Somatostatin receptor 2)는 세포골격 앵커 단백질 계열에 속하는 다중 도메인 단백질로, 여섯 개의 N-말단 ankyrin 반복 서열, SH3 및 PDZ 도메인, 여러 proline-rich 영역과 C-말단의 sterile α 영역으로 구성되어 있습니다.
참고 링크
🏷️Merck Sigma 상품 둘러보기
동일 브랜드의 다른 상품들을 확인해보세요

Merck Sigma
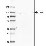
Merck Anti-CCNT1 antibody produced in rabbit
817,800원

Merck Sigma
Merck Anti-MARC2 antibody produced in rabbit
370,530원

Merck Sigma
Merck Anti-SSTR2 antibody produced in rabbit
370,530원

Merck Sigma
Merck Anti-PACS1 antibody produced in rabbit
817,800원

Merck Sigma
Merck Anti-PNMA2 antibody produced in rabbit
370,530원
배송/결제/교환/반품 안내
배송 정보
| 기본 배송비 |
| 교환/반품 배송비 |
|
|---|---|---|---|
| 착불 배송비 |
| ||
| 교환/반품 배송비 |
| ||
결제 및 환불 안내
| 결제수단 |
|
|---|---|
| 취소 |
|
| 반품 |
|
| 환급 |
|
교환 및 반품 접수
| 교환 및 반품 접수 기한 |
|
|---|---|
| 교환 및 반품 접수가 가능한 경우 |
|
| 교환 및 반품 접수가 불가능한 경우 |
|
교환 및 반품 신청
| 교환 절차 |
|
|---|---|
| 반품 절차 |
|
문의 0
로그인 후 문의를 할 수 있습니다.