
Merck Anti-Guanylyl Cyclase α1 antibody produced in rabbit
✨AI 추천 연관 상품
AI가 분석한 이 상품과 연관된 추천 상품들을 확인해보세요
연관 상품을 찾고 있습니다...
Anti-Guanylyl Cyclase α1 antibody produced in rabbit
IgG fraction of antiserum, buffered aqueous solution
생물학적 소스
rabbit
Quality Level
결합
unconjugated
항체 형태
IgG fraction of antiserum
antibody product type
primary antibodies
클론
polyclonal
form
buffered aqueous solution
분자량
~80 kDa
species reactivity
bovine, mouse, human, rat
포장
antibody small pack of 25 μL
향상된 검증
independent
Learn more about Antibody Enhanced Validation
technique(s)
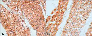
immunohistochemistry (formalin-fixed, paraffin-embedded sections): 1:100 using trypsin-treated human, bovine and mouse heart tissue
immunoprecipitation (IP): 5-10 μg using 60-120 μg of a cytosolic fraction of rat brain
western blot: 1:10,000 using cytosolic fraction of rat brain
배송 상태
dry ice
저장 온도
−20°C
Gene Information
human ... GUCY1A3(2982)
mouse ... Gucy1a3(60596)
rat ... Gucy1a3(497757)
The enzyme consists of α and β subunits of ~80kDa and ~70kDa respectively. Both the units are required for catalytic activity. The N-terminal domains of the subunits are essential for the stimulation of the enzyme by NO. Dimerization is mediated by the central portion of GC. The C-terminus domain of both subunits forms the catalytic domain.
🏷️Merck Sigma 상품 둘러보기
동일 브랜드의 다른 상품들을 확인해보세요

Merck Sigma
Merck Anti-GSDMB antibody produced in rabbit
817,800원

Merck Sigma
Merck Anti-FLG antibody produced in rabbit
370,530원

Merck Sigma
Merck Anti-Guanylyl Cyclase α1 antibody produced in rabbit
970,900원

Merck Sigma
Merck Anti-IDH1 antibody produced in rabbit
370,530원

Merck Sigma
Merck Anti-PTPN2 antibody produced in rabbit
817,800원
배송/결제/교환/반품 안내
배송 정보
| 기본 배송비 |
| 교환/반품 배송비 |
|
|---|---|---|---|
| 착불 배송비 |
| ||
| 교환/반품 배송비 |
| ||
결제 및 환불 안내
| 결제수단 |
|
|---|---|
| 취소 |
|
| 반품 |
|
| 환급 |
|
교환 및 반품 접수
| 교환 및 반품 접수 기한 |
|
|---|---|
| 교환 및 반품 접수가 가능한 경우 |
|
| 교환 및 반품 접수가 불가능한 경우 |
|
교환 및 반품 신청
| 교환 절차 |
|
|---|---|
| 반품 절차 |
|
