
Merck Anti-Selenoprotein P Antibody, clone 2G23 ZooMAb Rabbit Monoclonal
✨AI 추천 연관 상품
AI가 분석한 이 상품과 연관된 추천 상품들을 확인해보세요
연관 상품을 찾고 있습니다...
Anti-Selenoprotein P Antibody, clone 2G23 ZooMAb® Rabbit Monoclonal
recombinant, expressed in HEK 293 cells
Quality Level
생물학적 소스
rabbit
재조합
expressed in HEK 293 cells
결합
unconjugated
항체 형태
purified antibody
antibody product type
primary antibodies
클론
2G23, recombinant monoclonal
설명
recombinant, expressed in HEK 293 cells
제품 라인
ZooMAb® learn more
form
lyophilized
분자량
calculated mol wt 43.17 kDa
observed mol wt ~53 kDa
species reactivity
human
포장
antibody small pack of 25 μL
환경친화적 대안 제품 특성
Waste Prevention
Designing Safer Chemicals
Design for Energy Efficiency
Learn more about the Principles of Green Chemistry.
향상된 검증
recombinant expression
Learn more about Antibody Enhanced Validation
technique(s)
affinity binding assay: suitable
immunocytochemistry: suitable
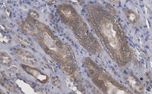
immunohistochemistry (formalin-fixed, paraffin-embedded sections): suitable
western blot: suitable
동형
IgG
에피토프 서열
C-terminal half
단백질 ID 수납 번호
UniProt 수납 번호
환경친화적 대안 카테고리
배송 상태
ambient
저장 온도
2-8°C
ZooMAb® antibodies represent an entirely new generation of recombinant monoclonal antibodies.
Each ZooMAb® antibody is manufactured using our proprietary recombinant expression system, purified to homogeneity, and precisely dispensed to produce robust and highly reproducible lot-to-lot consistency. Only top-performing clones are released for use by researchers. Each antibody is validated for high specificity and affinity across multiple applications, including its most commonly used application. ZooMAb® antibodies are reliably available and ready to ship when you need them.
🏷️Merck Sigma 상품 둘러보기
동일 브랜드의 다른 상품들을 확인해보세요

Merck Sigma
Merck Anti-pan-cytokeratin Antibody, clone AE1 ZooMAb Mouse Monoclonal
305,600원

Merck Sigma
Merck Anti-MMP14 Antibody, clone LEM-2/15.8 ZooMAb Mouse Monoclonal
259,800원

Merck Sigma
Merck Anti-Selenoprotein P Antibody, clone 2G23 ZooMAb Rabbit Monoclonal
259,800원

Merck Sigma
Merck Anti-Dopamine β Hydroxylase Antibody, clone 2B11 ZooMAb Rabbit Monoclonal
305,600원

Merck Sigma
Merck Anti-TAZ Antibody, clone 1M19 ZooMAb Rabbit Monoclonal
305,600원
배송/결제/교환/반품 안내
배송 정보
| 기본 배송비 |
| 교환/반품 배송비 |
|
|---|---|---|---|
| 착불 배송비 |
| ||
| 교환/반품 배송비 |
| ||
결제 및 환불 안내
| 결제수단 |
|
|---|---|
| 취소 |
|
| 반품 |
|
| 환급 |
|
교환 및 반품 접수
| 교환 및 반품 접수 기한 |
|
|---|---|
| 교환 및 반품 접수가 가능한 경우 |
|
| 교환 및 반품 접수가 불가능한 경우 |
|
교환 및 반품 신청
| 교환 절차 |
|
|---|---|
| 반품 절차 |
|
