
Merck Anti-HNF-4alpha Antibody, clone 4C19 ZooMAb Rabbit Monoclonal
✨AI 추천 연관 상품
AI가 분석한 이 상품과 연관된 추천 상품들을 확인해보세요
연관 상품을 찾고 있습니다...
Anti-HNF-4alpha Antibody, clone 4C19 ZooMAb® Rabbit Monoclonal
recombinant, expressed in HEK 293 cells
생물학적 소스
rabbit (recombinant)
재조합
expressed in HEK 293 cells
결합
unconjugated
항체 형태
purified antibody
antibody product type
primary antibodies
클론
4C19, monoclonal
recombinant monoclonal
제품 라인
ZooMAb® learn more
form
lyophilized
분자량
calculated mol wt 52.79 kDa
observed mol wt 53 kDa
species reactivity
rat, human, mouse
포장
antibody small pack of 25 μL
환경친화적 대안 제품 특성
Waste Prevention
Designing Safer Chemicals
Design for Energy Efficiency
Learn more about the Principles of Green Chemistry.
향상된 검증
recombinant expression
Learn more about Antibody Enhanced Validation
technique(s)
affinity binding assay: suitable
immunocytochemistry: suitable
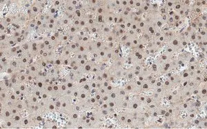
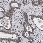
immunohistochemistry (formalin-fixed, paraffin-embedded sections): suitable
western blot: suitable
동형
IgG
UniProt 수납 번호
환경친화적 대안 카테고리
배송 상태
ambient
저장 온도
2-8°C
ZooMAb antibodies represent an entirely new generation of recombinant monoclonal antibodies.
Each ZooMAb antibody is manufactured using our proprietary recombinant expression system, purified to homogeneity, and precisely dispensed to produce robust and highly reproducible lot-to-lot consistency. Only top-performing clones are released for use by researchers. Each antibody is validated for high specificity and affinity across multiple applications, including its most commonly used application. ZooMAb antibodies are reliably available and ready to ship when you need them.
🏷️Merck Sigma 상품 둘러보기
동일 브랜드의 다른 상품들을 확인해보세요

Merck Sigma
Merck Anti-RAR-alpha Antibody, clone 3L14, ZooMAb Rabbit Monoclonal
259,900원

Merck Sigma
Merck Anti-AMPK alpha Antibody, clone 2D22, ZooMAb Rabbit Monoclonal
259,900원

Merck Sigma
Merck Anti-HNF-4alpha Antibody, clone 4C19 ZooMAb Rabbit Monoclonal
305,600원

Merck Sigma
Merck Anti-Nanog Antibody, clone 4C17 ZooMAb Rabbit Monoclonal
259,800원

Merck Sigma
Merck Anti-uPAR Antibody, clone 2G10 , ZooMAb Rabbit Monoclonal
305,600원
배송/결제/교환/반품 안내
배송 정보
| 기본 배송비 |
| 교환/반품 배송비 |
|
|---|---|---|---|
| 착불 배송비 |
| ||
| 교환/반품 배송비 |
| ||
결제 및 환불 안내
| 결제수단 |
|
|---|---|
| 취소 |
|
| 반품 |
|
| 환급 |
|
교환 및 반품 접수
| 교환 및 반품 접수 기한 |
|
|---|---|
| 교환 및 반품 접수가 가능한 경우 |
|
| 교환 및 반품 접수가 불가능한 경우 |
|
교환 및 반품 신청
| 교환 절차 |
|
|---|---|
| 반품 절차 |
|
